打开应用

磁性附着体。

吴医师   常德口腔医院

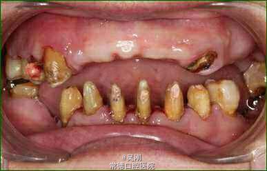
主诉 病史

烤瓷牙使用出血。 五年前在外院做烤瓷桥修复,使用期间一直出血,半年前左上桥体折断。

查体 辅查

烤瓷桥边缘不密封,探出血。 左上烤瓷桥桥体折断。

诊断 处理

上下颌不良修复体。 磁性附着体修复。

随访 讨论

三个月后复查无异常。

发布于 15-06-01 19:26

20 个评论

发送