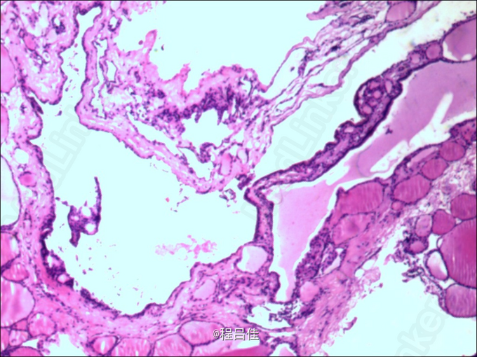
28岁女性患者,因“发现甲状腺肿物2月”入院,不伴局部红肿热痛、吞咽呼吸困难、声嘶、饮水呛咳,也无手抖、多汗、多食、体重下降、心悸等症状。当地医院查甲状腺彩超提示恶性病变,遂至我校附属肿瘤医院行穿刺活检,病理提示纤维及横纹肌组织中见上皮样细胞呈腺样或滤泡状排列,部分滤泡内可见胶质,细胞体积稍增大 ,未见明确神经及血管侵犯,未能除外甲状腺滤泡性癌可能。进一步行甲状腺、胸部CT检查示:甲状腺右叶及峡部病变,侵犯右颈内静脉、右无名静脉、上腔静脉,考虑恶性病变。现为手术治疗而收入我科。既往史无特殊。
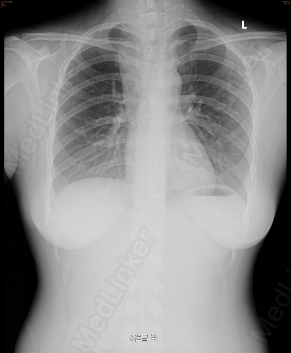
查体: 1.T37℃, P90次/分,R20次/分,BP120/80mmHg。颈软,外形对称,未见颈静脉怒张,未见血管搏动,气管偏左。右侧甲状腺II度肿大,内扪及数个结节,质硬,边界不清,无压痛,随吞咽上下移动。左侧(-)。颈部淋巴结未扪及。突眼征(-),双手震颤试验(-)。 辅查: 甲工5项正常、肺肿瘤组合(-)、血清降钙素原PCT1.31 ng/mL ↑ 、术后钙Ca 1.83 mmol/L ↓ 2.甲状腺US: 右叶甲状腺CA,向胸骨后延伸并侵犯右侧颈静脉起始段;左叶甲状腺滤泡囊肿。 双侧颈部未见异常肿大淋巴结。 3.胸片: 右上纵隔增宽,气管受压向左侧移位 4.心脏彩超:二尖瓣前叶脱垂并关闭不全(轻微),右房近上腔静脉入口处团块状回声。 5.PET-CT:甲状腺右叶及峡部肿块(向下延伸至胸骨上缘水平,邻近气管受压),代谢活跃,考虑恶性肿瘤,右侧颈内及购买起始段、右头臂静脉、上腔静脉、右心房上部节段性代谢增高,考虑癌栓形成。甲状腺左叶小结节,代谢未见异常,考虑结节性甲状腺肿或小囊肿。 6.术中冰冻快速切片报告: (左侧甲状腺)送检3.5x2.5x2cm暗红组织一块,切面暗红,无明显结节。冰冻快速切片报告镜下:结节性甲状腺肿,未见肿瘤。






诊断:1.双侧甲状腺肿物:右侧甲状腺滤泡状癌。2.胸骨后甲状腺肿物,甲状腺癌侵犯颈静脉。 处理:完善术前检查,全麻下行“双侧甲状腺全切术+非体循下右颈内静脉、右心房癌栓切开取出术”,术中出血3000ml,术程顺利;术后患者终身口服优甲乐,定期监测血浆TSH和T4。
术后患者恢复可,定期随访至今。滤泡状腺癌约占甲癌的1/5,中度恶性,病灶多为单发,虽有包膜,但多不完整,常有癌cell浸润。易发血行转移,但侵犯淋巴结则较少,其中特殊类型的Hurthle细胞癌,不吸收放射性碘,预后较差。