下载或打开 医联APP 查看完整评论
立即下载
打开APP
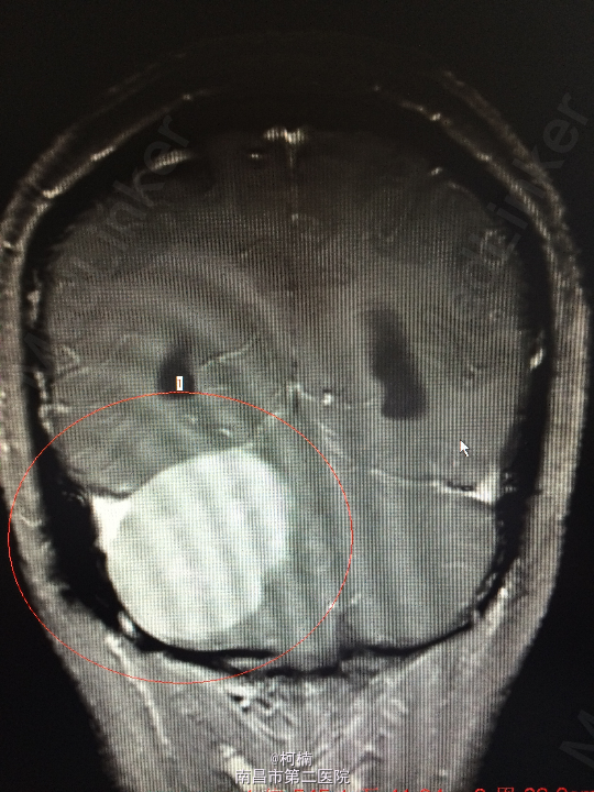
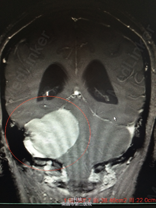
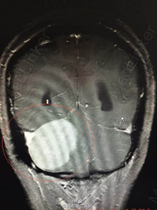
主诉:反复头晕、头痛伴呕吐及行走不稳10月余 病史:患者老年女性,55岁,10余月前开始出现头晕、头痛伴呕吐及行走不稳,无肢体乏力、肢体抽搐、意识障碍等不适,于当地医院诊治行头颅MR提示:右侧小脑角占位,考虑肿瘤。 查体:神经系统体查未见明显异常


查体:神经系统体查未见明显异常 辅助检查:头颅MR提示右侧桥小脑区占位性病变,考虑脑膜瘤。四脑室狭窄,变形,幕上脑室积水,小脑扁桃体疝








诊断:右侧小脑脑膜瘤 处理:先行介入栓塞肿瘤供血动脉,再行开颅手术治疗,术后予组织病理检查,提示:脑膜瘤







随访:术后患者症状缓解出院 讨论:脑膜瘤(Meningiomas)是起源于脑膜及脑膜间隙的衍生物,发病率占颅内肿瘤的19.2%,居第2位,女性:男性为2:1,发病高峰年龄在45岁,儿童少见。许多无症状脑膜瘤多为偶然发现。多发脑膜瘤偶尔可见,文献中有家族史的报告。50%位于矢状窦旁,另大脑凸面,大脑镰旁者多见,其次为蝶骨嵴、鞍结节、嗅沟、小脑桥脑角与小脑幕等部位,生长在脑室内者很少,也可见于硬膜外。其它部位偶见。手术为其首选的治疗方案。

