下载或打开 医联APP 查看完整评论
立即下载
打开APP
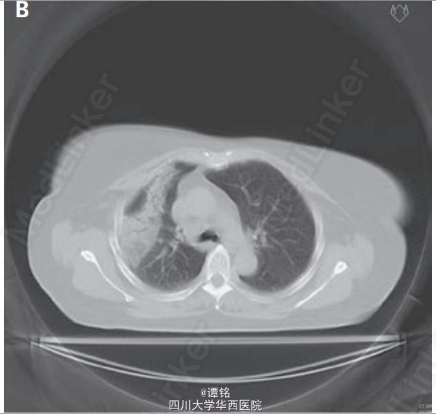
患者为58岁女性,因呼吸困难、咳嗽2周入院。8月前因右侧乳腺 I 期肿瘤(T1N0M0)行乳腺肿物切除术及辅助放疗,5周内患者共接受了总剂量为50 Gy的放疗,照射区域包括乳腺实质和部分前肺,见CT中的等剂量线(图A),6月前完成放疗。

随后的CT扫描显示放射性肺炎的典型表现:包括非解剖性分布的实变(不与肺叶或支气管肺节段相对应)(图B),其中可见很多支气管气像,并伴有周围支气管轻度扩张,常可进展为牵拉性支气管扩张,尽管肺炎主要发生在肺的照射部位,但也可以播散至非照射区域。

予泼尼松龙100 mg qd,3天后逐渐减量,治疗5周后临床症状消失(图C)

放射性肺炎的发生、严重程度与放射方法、放射量、放射面积、放射速度均有密切关系。轻者无症状,重者多于放射治疗后2~3周出现刺激性、干性咳嗽、伴气急、心悸和胸痛,不发热或低热、偶有高热,停止放疗约一月后,X片可见肺部出现阴影。讨论:本病例中,患者如何在放疗完成6个月后才出现呼吸困难,咳嗽症状? 译自:N Engl J Med 2009; 361: e65