下载或打开 医联APP 查看完整评论
立即下载
打开APP
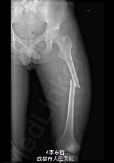
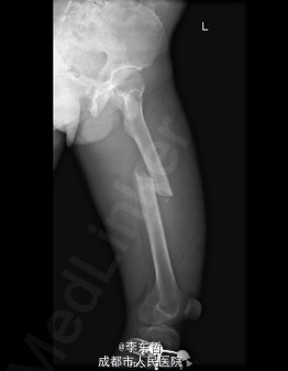
患者男,19岁,因“车祸伤致左下肢活动障碍5小时”入院。5小时前,患者骑电瓶车不慎与另一电动摩托车相撞倒地,当即感左大腿疼痛,畸形,活动受限,右小腿皮肤挫伤、出血,无头晕头痛,无大小便失禁。就诊于当地医院,检查提示:左股骨中段横行骨折。急诊行左大腿夹板外固定,右小腿清创缝合术,术后未进一步治疗,患者为进一步诊治来我院,急诊以左股骨中段骨折收入我科。 自患病以来,患者一般情况尚可,精神睡眠可,小便正常,大便未解。


查体:左大腿夹板固定,肿胀明显,短缩、畸形,右小腿内前方可见一长约5cm创口,已缝合,内植引流条一根,无明显肿胀。左大腿中段环周压痛,可扪及骨折断端,右小腿无明显压痛,双下肢感觉正常。左膝及髋关节明显活动受限,左足背及右下肢活动正常。 辅查:外院X片示:左侧股骨中上段可见骨质断裂征象,断端分离、错位、重叠,周围软组织肿胀;双侧胫腓骨、左膝关节各骨及左踝关节未见确切骨质断裂征象。


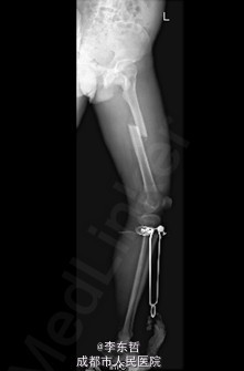
初步诊断:1、左股骨中段横行骨折,2、右小腿皮肤软组织裂伤清创缝合术后。 诊疗计划:1、向患者及家属交待病情及注意事项。2、向上级医生汇报患者病情。3、完善术前相关检查。4、给予皮肤牵引、抬高患肢等对症处理。5、拟进一步手术治疗。6、密切观察病情变化,根据病情及时处理




随访无特殊

