下载或打开 医联APP 查看完整评论
立即下载
打开APP
患者,男,71岁。因咳嗽、咳血、伴气促2个月,右颊部肿块1个月入院。 2个月前,患者无明显诱因出现咳嗽、咳痰、痰中带血伴气促,自行口服抗炎、止咳药物(具体药名及剂量不详)后,自觉症状有所缓解。

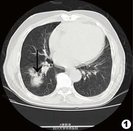
体查:一般状态尚可,右颈部可触及一0.2cm×0.3cm大小淋巴结,质软、活动好、无压痛。心、肺、腹部查体未见异常。 辅助检查:血、尿、便常规及肝肾功能检查未见异常。胸部CT示右肺下叶见4.8cm×3.7cm×4.2cm占位性病变。


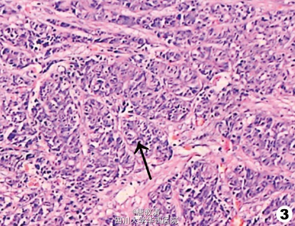
结合临床表现、肺部CT与病检结果分析考虑肺癌皮肤转移。 转入肿瘤科进一步治疗。
本病诊断主要通过组织活检确认是否继发于内脏肿瘤转移,在组织病理学上,皮肤转移癌一般与原发癌相似,但比原发肿瘤的分化更差,异形性明显。 恶性肿瘤患者发生皮肤转移时,通常已是癌症终末阶段,说明肿瘤已广泛转移。因此笔者认为应采取 综合措施治疗,局部放疗可缩小肿瘤、缓解压迫症状,其效果较好,尤其对仅限于皮肤局部区域的多发病灶及预计生存期较长者可作为治疗首选。