下载或打开 医联APP 查看完整评论
立即下载
打开APP
患者,男,52岁,因下腹坠胀感1年余,进行性加重就诊。起病以来尿频、尿急,尿流中断、尿线较细,无肉眼血尿;大便次数增多,每次便量减少,无黑便、血便。
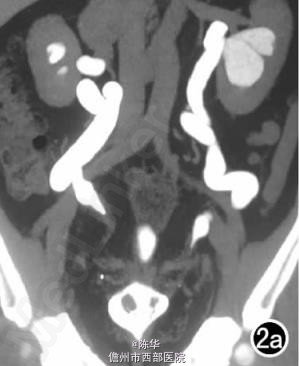
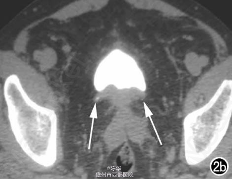
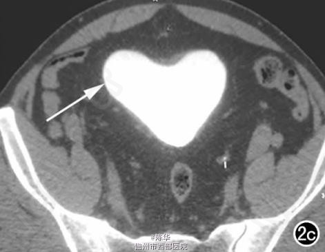
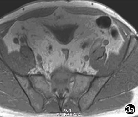
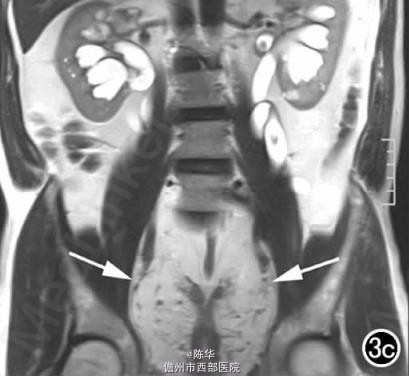
腹部B超示双肾增大,双肾慢性肾病声像;双肾中度积液伴双输尿管上段扩张。 IVPshi双侧输尿管中或下段梗阻。 膀胱造影:经尿道置管后,注射对比剂充盈膀胱,膀胱下半部先充盈,继续灌注对比剂后见膀胱完全显影,膀胱形态异常,呈“倒葫芦状”(图1)。 CT增强扫描行延迟期 MPR重组,见双侧肾盂、肾盏扩张积液;双侧输尿管纡曲、扩张,下端呈鸟嘴样变窄;膀胱变形、体积减小(图2); MRI平扫示双侧肾盂、肾盏扩张积液,双侧输尿管扩张并下端鸟嘴样变窄,盆腔内多量脂肪沉积,分布于膀胱、直肠周围,T1WI、T2WI呈明显高信号,T2WI抑脂像呈稍高信号,膀胱受压变形、体积减小(图3a~c); MRU示双侧肾盂肾盏扩张、积液,双侧输尿管显著纡曲、扩张,下端鸟嘴样变窄,管壁光整,膀胱变形、体积较小、位置抬高(图3d)。








综合影像资料,该例符合盆腔脂肪增多症典型改变。 于全麻下行剖腹探查术,适当清除双侧输尿管周围、膀胱周围及腹膜后脂肪,离断双侧输尿管下段后行输尿管膀胱再植术。取活检病理结果为纤维脂肪组织。
术后随访6个月,患者症状明显减轻,效果良好。 因盆腔脂肪增多症为良性病变,对于无上尿路梗阻及肾功能不全者,可随访观察或行保守治疗,如 出现上尿路梗阻,应积极手术干预。手术治疗的理想术式是盆腔脂肪清除术,同时可行双侧输尿管膀胱再植术等。 doi:10.3969/j.issn.1000-0313.2013.09.024