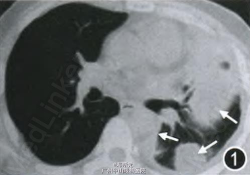
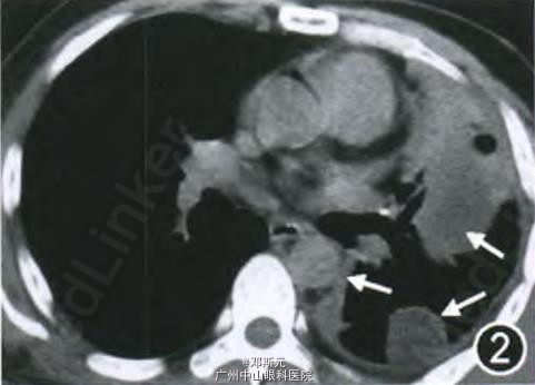
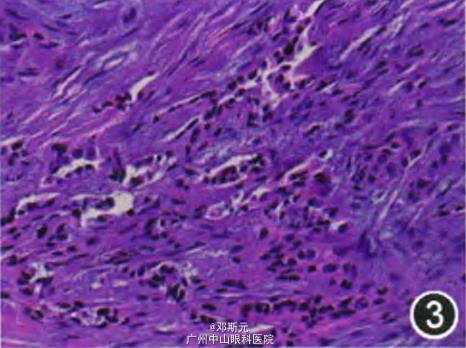
患者男,40岁,因“胸痛4个月”于2013年7月收入北京协和医院呼吸科。2013年3月患者无诱因出现双侧胸痛,呈持续性隐痛,与呼吸相关。胸部CT示右肺上叶小结节,左侧胸膜明显增厚及左肺下叶膨胀不全,左侧胸腔积液(图l,2),PET—CT示右肺上叶结节放射性摄取稍高,标准摄取值(SUV)为1.1,左侧胸膜多发结节状放射性摄取增高灶,SUV值为2.9,中下肺为著。胸腔穿刺抽出血性胸腔积液,为渗出性,未见癌细胞。2013年4月行“胸腔镜辅助右上肺结节切除术”,术后病理为“右上肺错构瘤(以软骨成分为主)”。但术后胸痛未缓解,且左侧胸痛加剧,复查胸部CT提示左侧胸腔积液增多。2013年6月行“左侧小开胸、粘连松解及胸膜病变切除活检术”,术中见胸膜结节状增厚并广泛粘连,胸膜腔闭锁,切取局部少许胸膜送检。术后病理示纤维脂肪组织,局灶轻度异型细胞增生;免疫组织化学染色细胞角蛋白AEI/AE3阳性,考虑间皮瘤不除外,未明确诊断。2013年7月行“经皮左侧胸膜穿刺活检术”,术后病理(结合患者上次开胸胸膜活检标本)示肿瘤细胞排列成小巢状,短索状,可见血管腔样裂隙,基质呈浅蓝色黏液透明样。肿瘤细胞呈上皮样或组织细胞样,圆形、多边形或梭形,胞质丰富,嗜伊红色,胞质内管腔或空泡形成不明显,瘤细胞核略呈空泡状,核仁及核异型性不明显,未见明确的核分裂相,未见实性梭形细胞区域或坏死。免疫组织化学染色示分化簇3l、分化簇34及波形蛋白阳性,第八因子相关抗原、CK5/6及钙视网膜蛋白阴性。符合EHE(图3~,为进一步治疗收入院。有长期吸烟史。






体检:右侧胸壁可见腔镜手术瘢痕,左侧胸廓塌陷,可见长约4 cm手术瘢痕,左肺下界上移,左肺呼吸音弱,双肺未闻及干湿性哕音,余未见异常。
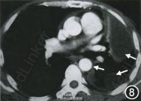
因患者左侧胸膜广泛增厚并左侧胸腔包裹性积液,左侧胸廓塌陷,手术完整切除困难,患者于2013年8月开始吉西他滨联合顺铂方案化疗(吉西他滨1.8 g,第1及第8天,顺铂 130 mg,第1天),2个疗程后复查胸部CT无明显变化,病情评估为稳定(图7,8)。4个疗程后,评估病情仍为稳定,但患者左侧胸痛进行性加重,给予止痛及对症处理,因化疗期间呕吐明显,患者拒绝进一步化疗。本例确诊时已有左侧胸膜广泛受累,已无手术机会,故选择吉西他滨联合顺铂方案化疗,4个疗程后病情稳定。患者拒绝进一步化疗,发病11个月(2014年2月)后失访。


EHE实为血管内皮源性肿瘤。EHE可发生于任何器官,肝和肺为最常见受累器官,但侵袭性EHE多发生于罕见位置,如甲状腺和胸膜。 因其发病率低,尚无标准的治疗方案。对于局部病灶首选根治性切除。doi:10.3760/cma.j.issn.1001-0939.2015.03.006