下载或打开 医联APP 查看完整评论
立即下载
打开APP
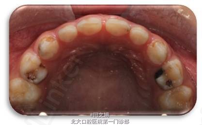
左下后牙色黑一周余,否认自发痛夜间痛史及其他不适。
全口卫生状况较差,牙面大量软垢。 75MOBP大面积龋坏,色棕黄,质软,叩痛(-),不松动,牙龈未见红肿瘘管。 X线片示:根尖未见低密度影, 35牙胚未见。 全口曲面断层片示:15,25,35,45,14,24,34,44,1,2,22,32,42恒牙胚未见,11与13间见一畸形牙胚影像。第一二恒磨牙牙胚存,第三恒磨牙未见。21牙胚扭转。


诊断:75MOBP深龋;15,25,35,45,14,24,34,44,1,2,22,32,42先天缺失 处理:75MOBP充填后预成冠修复,治疗其余龋坏牙, 待成年后修复缺失牙




多颗牙齿先天性缺失,需要多学科综合治疗,目前常用正畸方法是关闭间隙、集中间隙或保持间隙以种植体或义齿修复,对于牙槽骨发育不足的多数缺牙和无牙的患者可采用外科手术植骨,术后种植体或义齿修复。 对于该患者多颗牙齿缺失难以采用正畸的方法关闭间隙,需通过以后的修复或种植治疗,在其乳牙列阶段,我们一方面通过治疗防止乳牙早失,另一方面也应密切观察是否有乳牙下沉,一旦发现及时治疗防止其对牙弓发育的影响。预成冠修复适用于乳牙大面积龋坏,对于活髓牙也同样适用。