下载或打开 医联APP 查看完整评论
立即下载
打开APP
打开应用
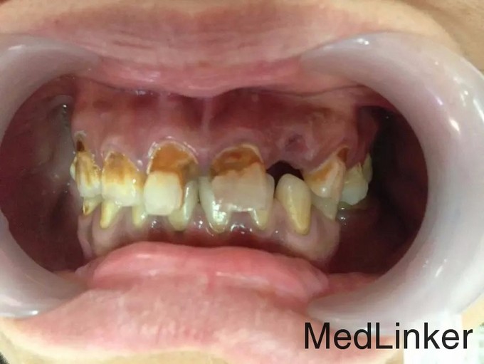
牙齿大面积龋坏,缺失,冠修复
贾彩用户
贾彩琴牙科镶复所
主诉 病史
牙齿龋洞疼痛要求治疗
发布于 15-10-21 21:30
医联推荐你看
大面积脑梗死
邻面大面积龋坏
乳牙大面积龋坏及多颗恒牙缺失
共
0
个评论
暂无评论
发送
0