打开应用

多颗乳牙大面积根尖病变

闫医师   北京大学口腔医院
中龋 深龋 慢性根尖周炎

主诉 病史

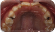
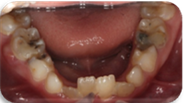
8岁女孩后牙区反复肿胀近半年未经治疗,咬物偶有疼痛

查体 辅查

65MO深大龋洞,色棕黄,质软,叩痛(+),不松动,牙龈红肿,未见瘘管。 X线片示:冠部低密度影达髓腔,根分歧区大面积低密度影,近远中根内侧壁见吸收。25牙胚存,未拍全。 64MO深大龋洞,色棕黄,质软,叩痛(+),不松动,牙龈略红肿。 X线片示:根分歧区密度减低。 84OD深大龋洞,色棕黄,质软,叩痛(-),不松动, 85MO牙色充填体周围见龋坏,色黑,质软,叩痛(±),不松动,龈无异常。 X线片示:根周见低密度影,44,45牙胚存,未拍全。 54DOL深大龋洞,色黑,质软,叩痛(-),不松动, 55O窝沟色黑,卡探针,叩痛(-),不松动,龈无异常。 74OD,75MO半年前曾于外院行充填治疗,现检查见充填体边缘色黑,卡探针,充填体略有松动。

诊断 处理

诊断:64,65,84,85慢性根尖周炎;54DOL深龋,55O中龋;74OD,75MO继发深龋 处置:64,65,84,85根管治疗 54DOL,55O行充填治疗 74OD,75MO去除旧充填体后充填治疗

随访 讨论

乳牙根管治疗术是治疗乳牙根尖周病的有效方法,通过根管预备和药物毒去除感染物质对根尖周组织的不良刺激,并用可吸收的充填材料充填根管,促进根尖周病愈合。 在第一恒磨牙未完全萌出之前,为防止乳牙早失造成第一恒磨牙近中移位,对于第二乳磨牙的较大面积根尖周病变我们采取保守治疗,根管治疗后需定期复查,一旦发生病变扩大及时拔除,在此病例中第一恒磨牙未完全萌出,我们对65,85进行试保留,半年后临床检查无异常,x线片显示病变较初诊时缩小,建议继续观察。

发布于 15-10-03 22:36

5 个评论

发送