下载或打开 医联APP 查看完整评论
立即下载
打开APP
打开应用
又一例不对称拔牙
赵医师
中国人民解放军陆军第九五八医院
主诉 病史
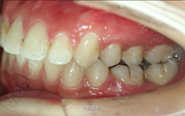
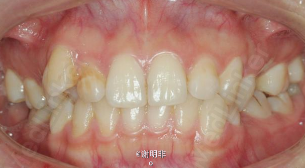
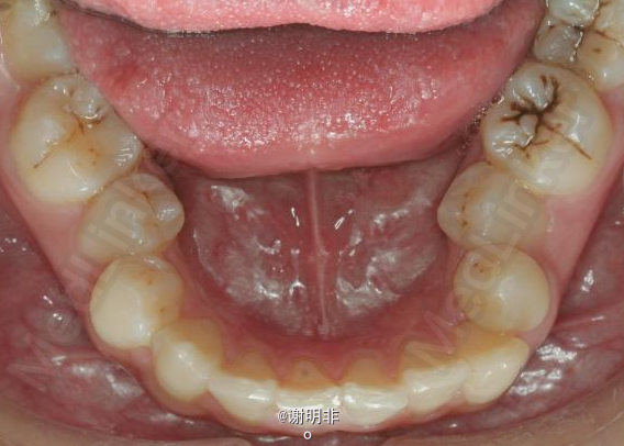
牙弓狭窄,牙列拥挤
查体 辅查
发布于 15-06-22 23:44
医联推荐你看
不对称拔牙
不对称拔牙
又一例不对称拔牙
共
2
个评论
查看更多评论
发送
0