下载或打开 医联APP 查看完整评论
立即下载
打开APP
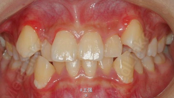
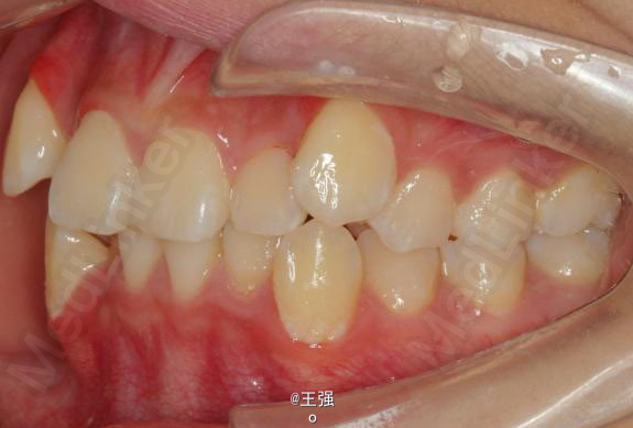
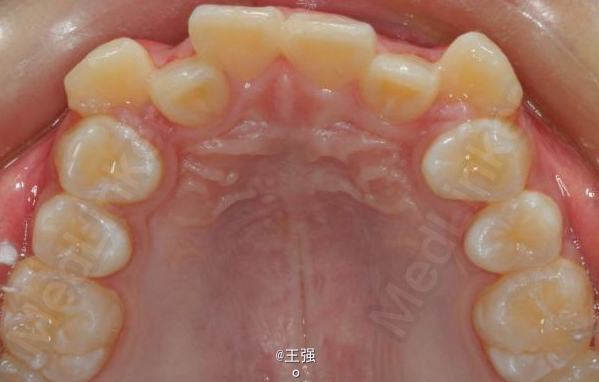
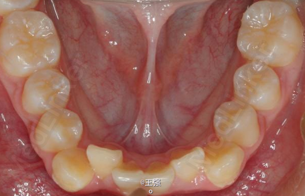
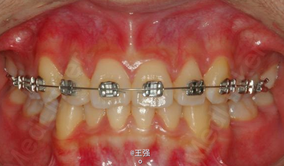
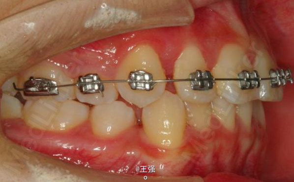
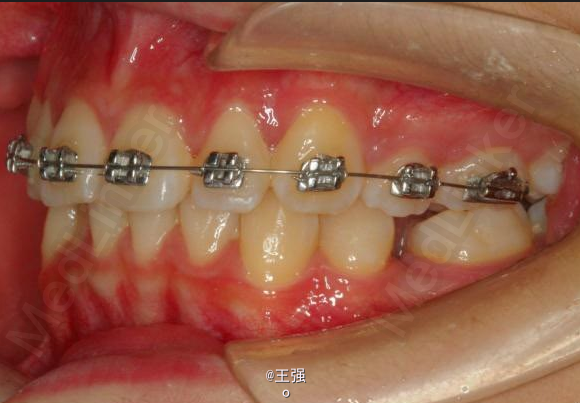
在临床上,我们常常会遇到亚类病例,对于亚类病例,有时需要不对称拔牙,常见的不对称拔牙方法有:上颌对称,下颌数目对称但是位置不对称。还有上颌对称,但是下颌数目不对称。其目的就是为了取得尽可能理想的尖窝对应咬合关系 该病例右侧是中性关系,左侧是中性偏远中关系,上颌中线正,下颌中线左偏约1mm。左侧磨牙关系距离中性关系约差2mm左右。如果采用对称性拔除下颌左右四,我们面临的问题是,一、如何保证矫治后上下中线一致,二、如何保证左侧磨牙关系矫治后为中性关系。治疗过程中势必会用到不对称牵引。我个人认为除非是功能性的因素,矫治过程中最好不要用不对称牵引。 关于中线和磨牙关系的问题,我认为应在矫治计划制定时就应考虑到,而不是等到矫治第三阶段所谓精细调整阶段再来解决。事实上到了这个阶段采用了不对称的牵引,即使暂时取得了中线对齐的矫治目的也是不稳定的。 这个病例,用了不对称的拔牙,右下拔四,左下拔五。下颌牙齿在漂移的过程中(几乎没有外来力量),下前牙自然就会向右比向左多漂移一些,中线在下颌还没有开始矫治时就对齐了,左下六因没有五的存在,自然就向近中多漂移一些,和上颌六形成中性关系。接下来的矫治就会非常简单,而结果自然也非常稳定。








