下载或打开 医联APP 查看完整评论
立即下载
打开APP
打开应用
又一例不对称拔牙
尹医师
武汉大学人民医院
主诉 病史
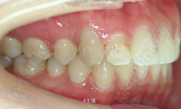
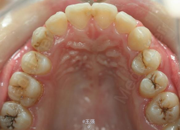
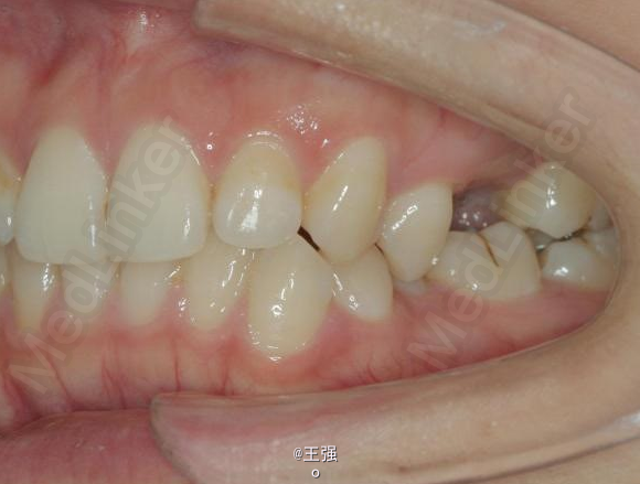
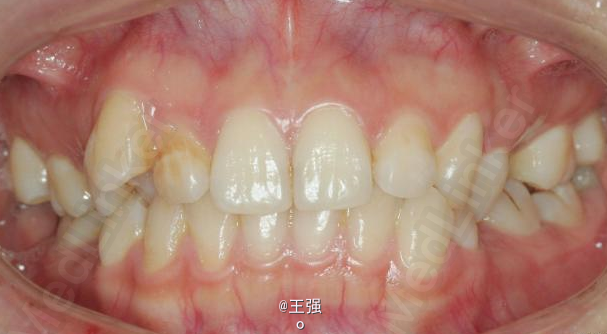
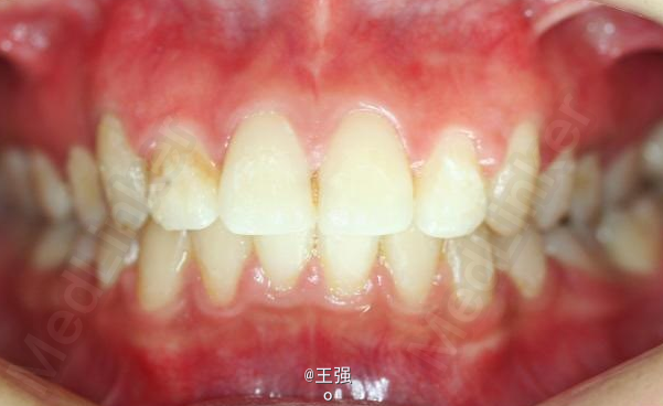
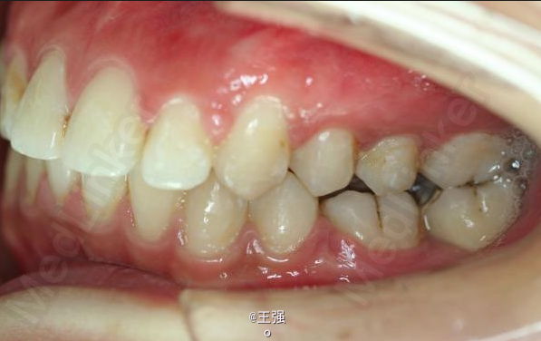
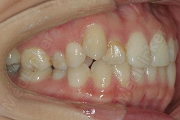
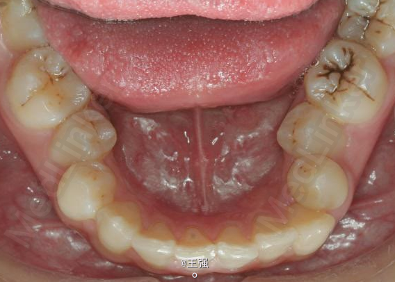
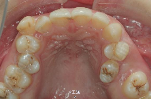
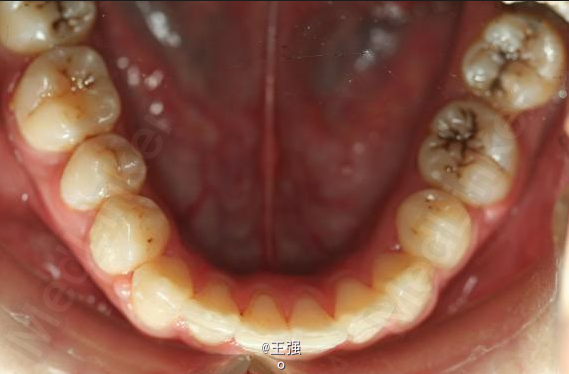
牙弓狭窄,牙列拥挤
查体 辅查
发布于 15-06-20 09:14
医联推荐你看
不对称拔牙
不对称拔牙
又一例不对称拔牙
共
0
个评论
暂无评论
发送
0