下载或打开 医联APP 查看完整评论
立即下载
打开APP
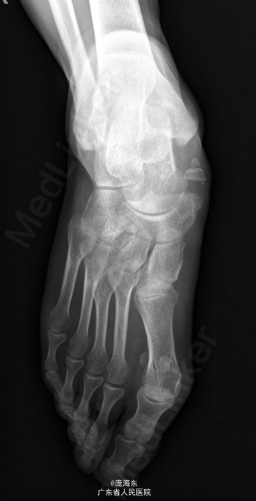
患者,男,35岁,因“右足内侧肿块伴疼痛6年,加重1个月”入院。
右足平足,右足舟骨内侧骨性突起明显,局部压痛(+),沿肌腱走行压痛,无局部红肿,右踝关节、右足趾伸屈活动无明显受限,足背动脉可及。远端血循良好,感觉正常。当地医院X线:右足副舟骨,建议进一步检查。

初步诊断: 1.右足胫后肌腱炎;2、右足副舟骨痛。在全身麻醉下行“ 右足副舟骨切除+胫后肌腱重建术”. 。内足舟骨处作一横行长约5cm的切口,依次切开皮肤,皮下组织及筋膜层,暴露胫后肌腱处,见副舟骨形成,副舟骨及舟骨表面散在白色斑点样改变,副舟骨局部可活动,关节囊内淡草黄积液,见胫后肌腱粘连增生肥大,切除副舟骨,游离趾长屈肌腱并远端切断,足舟状骨处打入一锚钉,将胫后肌腱处锚线缝合固定,足舟骨局部转孔,穿过铆线,将趾长屈肌腱缝合于足舟骨处,再将胫后肌腱及趾长屈肌腱固定缝合,活动足部见肌腱缝合牢固,冲洗,逐层缝合,无菌包扎。


术后复查示内固定在位,右足外翻畸形外观明显改善,现患者病情恢复稳定,切口愈合良好.
