打开应用

小儿支气管肺炎病例一例

刘医师   中国科学院大学宁波华美医院
支气管肺炎 肺炎

主诉 病史

女,4岁,因进行性面色苍白2年余就诊

查体 辅查

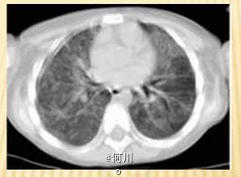
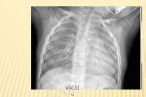
流涕、轻咳、低热、纳差 辅查胸片,X线表现为两肺纹理增粗、增多,模糊。CT可见双肺沿支气管分布的大片状模糊影

诊断 处理

支气管肺炎 处理:磁药叠加调节免疫疗法

随访 讨论

患者预后佳

发布于 15-06-21 10:01

0 个评论

暂无评论
发送