下载或打开 医联APP 查看完整评论
立即下载
打开APP
青年男性,主诉:头晕伴肢体乏力1周。 现病史:患者1周前始无明显诱因反复出现头晕,伴左侧肢体乏力、行走不稳,偶伴头痛、恶心感,休息后可稍缓解,无呕吐,无天旋地转感,无晕厥,无伴听力、记忆力减退等,发作无明显规律。至当地医院就诊,头部MR结果示:右间脑下方-脑干-桥前池-左鞍底区肿瘤,并瘤内卒中。
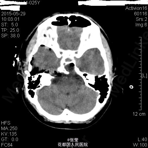
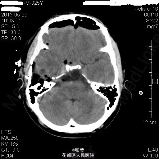
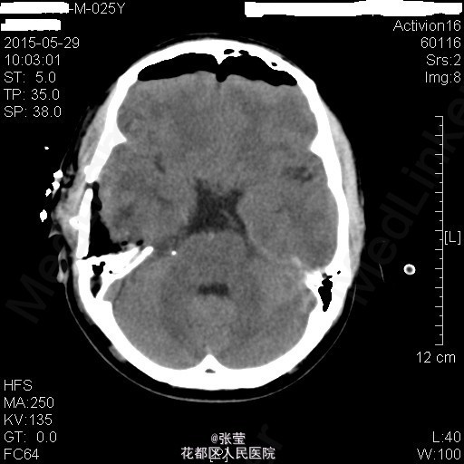
查体:神清,对答切题,双瞳等大等圆,直径约3mm,对光反射灵敏,双侧听力粗测正常,四肢肌力Ⅴ级。生理反射存在,病理征未引出。 辅查:颅脑MR:1、斜坡区占位,侵及中脑、脑桥右份及蝶窦,病灶ADC值增高,FA值下降,考虑脊索瘤并囊变、出血可能大。 2、MRA示双侧颈内动脉向外侧移位,余脑动脉未见明确异常。






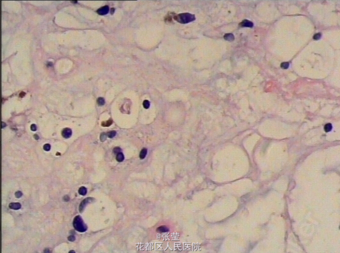
患者入院后完善相关检查,排除手术禁忌症,于2015年4月7日行"神经内镜下经鼻蝶入路斜坡脑干占位病变切除+鞍底重建+左下腹脂肪取出术",手术顺利。 术后病理示:脊索瘤。 予抗感染、护胃、化痰、维持水电解质平衡及加强营养支持治疗,患者病情较前明显好转。





