下载或打开 医联APP 查看完整评论
立即下载
打开APP
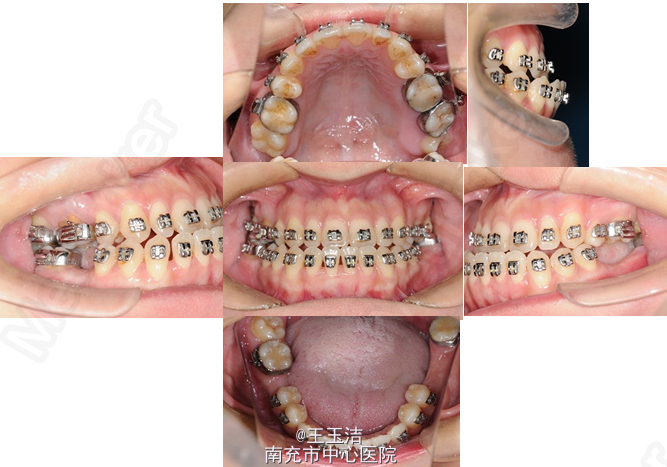
主诉:“地包天”要求矫治。 女,22岁,地包天,生长发育停滞期,全身病史:无特殊


长面型,下面高偏大;C6、D67残冠 ;磨牙关系Ⅲ类,前牙及前磨牙反合,无咬合接触 ;spee曲线平;上颌拥挤量8mm,下颌拥挤量6mm.;上前牙唇倾,下前牙舌倾。前牙及全牙Bolton比正常。


诊断:安氏Ⅲ类,骨性Ⅲ类,垂直生长型,反合伴前牙开合,牙列拥挤 处理:全口直丝弓矫治技术+正颌外科手术(SSRO) 拔除A4B4 C6D67,去代偿 前移上后牙关闭剩余间隙,维持下颌拔牙间隙,后期修复治疗 结束固定正畸治疗后,上颌用透明保持器保持,下颌全牙弓夹板型可摘义齿保持。


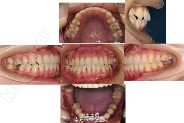
对严重的骨性III类病人,而且患者又对面型有要求时,应采用正畸-正合联合治疗,不要单纯正畸代偿治疗。此病例上前牙已唇倾代偿,下前牙已舌倾代偿,不适宜再做掩饰治疗。

