下载或打开 医联APP 查看完整评论
立即下载
打开APP
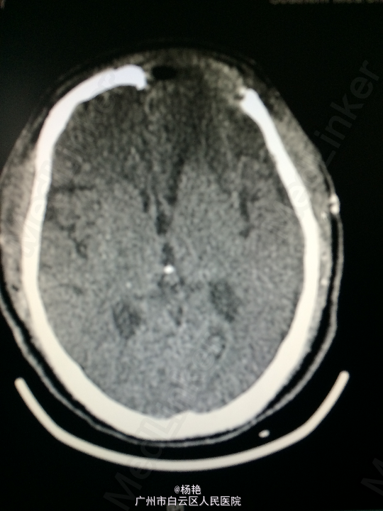
主诉:反复头痛2年加重1周 病史:患者诉两年前无明显诱因反复出现头晕头痛不适,近一周来症状加重,无恶心呕吐、无行走不稳、肢体乏力、意识障碍等。遂至当地医院诊治,行头颅CT、MR检查均提示颅内占位,良性可能性大,考虑脑膜瘤。今患者为求进一步治疗而入我院。

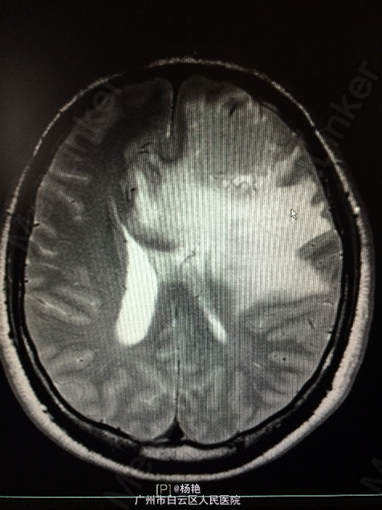
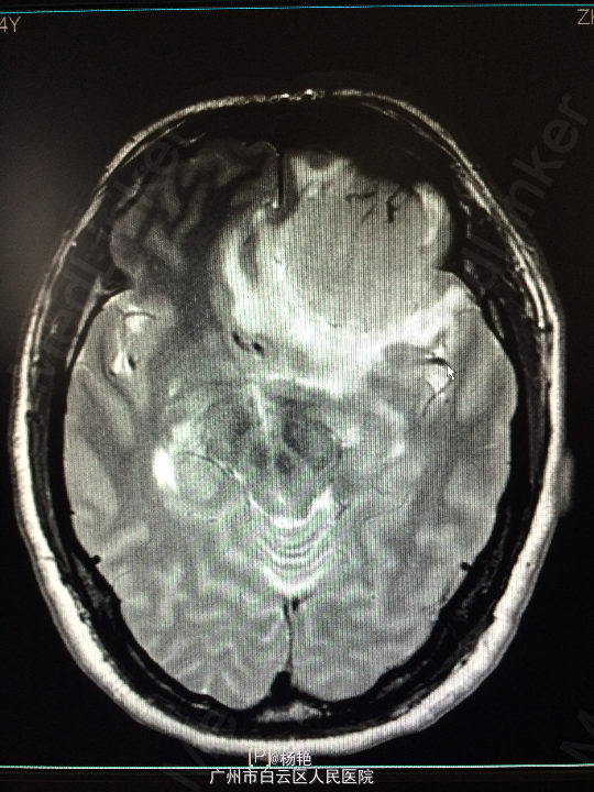
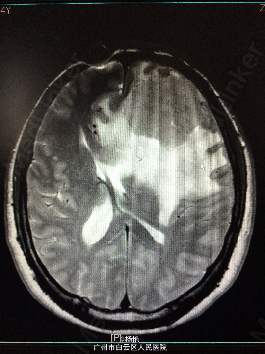
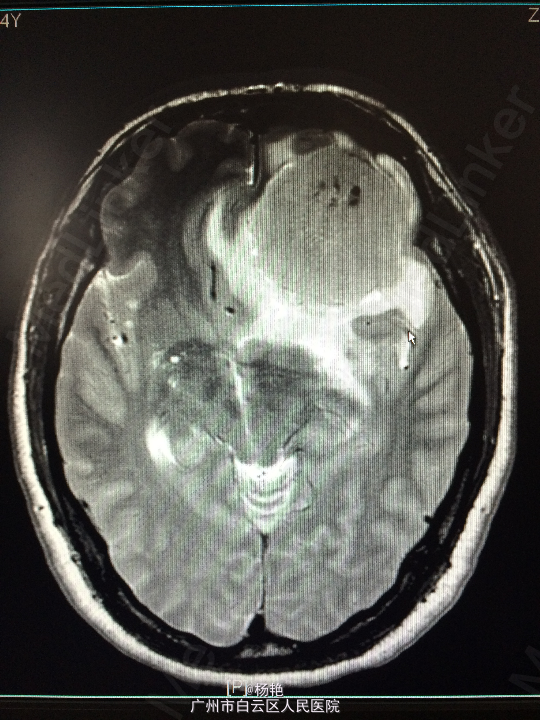
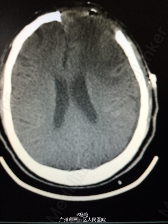
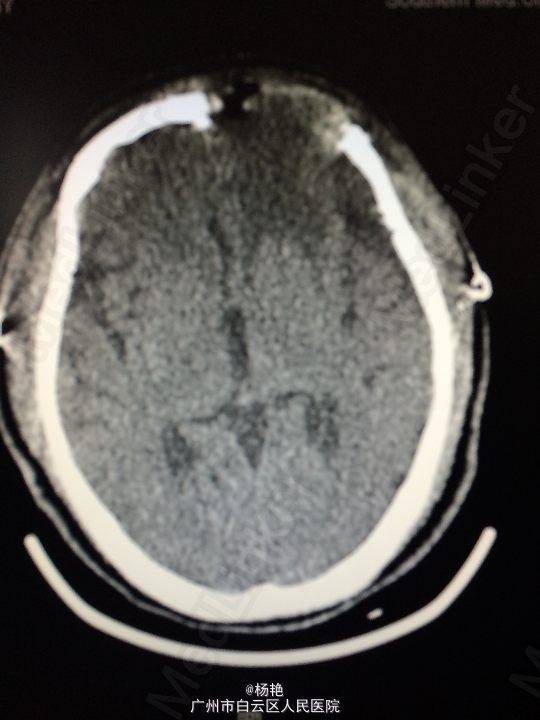
查体:神经系统查体未见明显异常 辅助检查:头颅MR提示:左侧额叶区域较大类圆形肿物,多考虑脑膜瘤可能;大脑前动脉及中动脉受压,中线偏移。







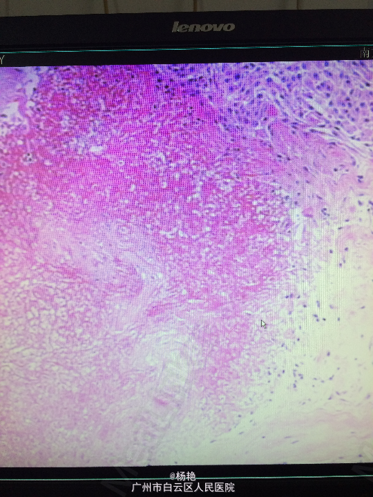
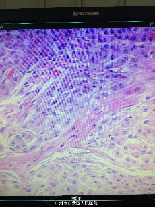
诊断:左额叶脑膜瘤 处理:在静脉全麻下行左侧额底脑膜瘤切除术,术后病理提示:脑膜瘤




术后患者左侧视力稍模糊,无其他不适,出院 讨论:脑膜瘤属于良性肿瘤,生长慢,病程长。因肿瘤呈膨胀性生长,病人往往以头疼和癫痫为首发症状。根据肿瘤位置不同,还可以出现视力、视野、嗅觉或听觉障碍及肢体运动障碍等。在老年人,尤以癫痫发作为首发症状多见。颅压增高症状多不明显,尤其在高龄病人。在CT检查日益普及的情况下,许多患者仅有轻微头痛,甚至经CT扫描偶然发现为脑膜瘤。因肿瘤生长缓慢,所以肿瘤往往长的很大,而临床症状还不严重。临近颅骨的脑膜瘤常可造成骨质的变化。手术切除脑膜瘤是最有效的治疗手段。随着显微手术技术的发展,脑膜瘤的手术效果不断提高,使大多数病人得以治愈。




