男,65岁,反复尿频、尿急,夜尿增多1年余,加重并排尿不出20余天。 患者自诉于1年多开始出现尿频、尿急,夜尿增多,尿线变细,尿不尽感,无血尿,无畏寒、发热。即到当地医院就诊,经检查诊断前列腺增生,给予保列治的药物治疗,症状好转。此后,上述症状反复发作,每次发作经服药后,症状均能缓解。本次于20多天前再次出现上述症状,并加重,出现排尿不出,即到当地卫生院就诊,给予留置导尿管,并抗炎治疗,口服保列治。一周后拔尿管,仍然不能排尿,再次给予留置导尿管。患者反复拔尿管两次,仍不能排尿,继续留置导尿管。于今天到我院就诊,门诊拟"急性尿潴留、前列腺增生症"收入我科。
双肾区无红肿、隆起,无叩痛,双侧肋脊点、肋腰点无压痛。腹平软,双侧上中输尿管点无压痛,膀胱区无压痛。双侧腹股沟区未触及肿物,尿道外口未见异常,阴囊无水肿,双睾丸可触及,肛周皮肤无红肿。停留尿管引流通畅,尿色清。直肠指检:肛门括约肌稍松弛,前列腺明显增大,大小约:5×4cm,表面光滑,质韧,边缘清楚,中央沟变浅,未触及明显结节,指套未见染血。辅助检查:暂缺
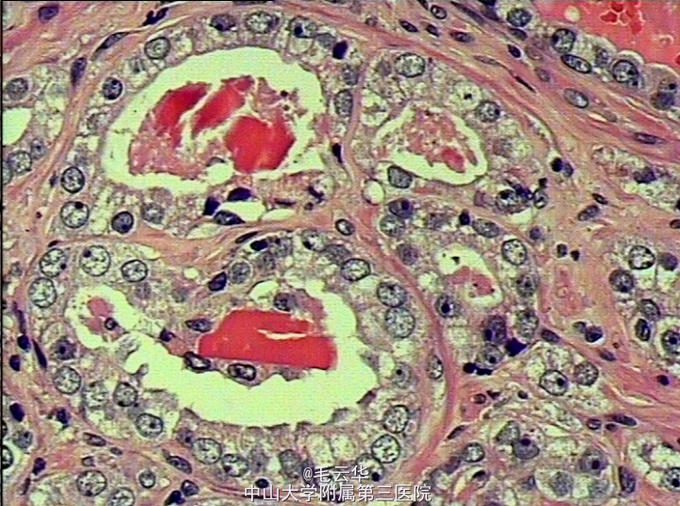
入院诊断:急性尿潴留,前列腺增生症 鉴别诊断:1.前列腺癌 2.膀胱颈纤维化 3尿道狭窄 4 神经源性膀胱 入院完善相关检查,盆腔MR示前列腺增生;左侧外周带T2WI信号降低,恶变待排,建议活检。B超引导下证实前列腺癌Gleason3+3=6分。行腹腔镜下前列腺癌根治术。术后病理示前列腺腺癌(Gleason评分:3+3=6分),闭孔淋巴结未见癌。



随访2年定期复查PSA无复发。讨论:前列腺癌是欧美男性发病率最高的恶性肿瘤,死亡率仅次于肺癌。近年来G随着人口老龄化和饮食结构的改变G我国前列腺癌的发病率和死亡率均明显上升。腹腔镜前列腺癌根治术(LRP)是局限性前列腺癌的最有效治疗方法,腹腔镜手术与开放手术相比,具有创伤小、全身干扰少、出血少、术后痛苦少和并发症少等优点,但是控瘤效果相当。随着手术机器人的引进,机器人辅助下腹腔镜前列腺癌根治术已在部分医院开展,未来手术将会实现更精确更小创伤。