患者,男,43岁,因“精神行为异常、视物模糊2个月,发热1个月余”于2009—12—27入院。患者 2009年10月出现反应迟钝、淡漠,双眼视物模糊;记忆力减退,有时找不到日常用品,不认识回家的路,偶有胡言乱语。2009年11月患者出现发热,体温波动于37—40℃,伴畏寒,并出现明显人格改变、言行异常。于某医院住院,查体:意识清楚,反应迟钝,情感淡漠。定向力、记忆力、计算力减退。未见其他局灶性神经系统体征。血常规示三系减低,诊断“发热:感染性疾病?血液系统疾病?”,予抗感染、补液支持等治疗。2009年12月病情逐渐加重,为进一步诊治人我院。既往体健。
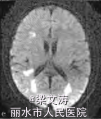
体温38.1℃,意识清楚,定向力、记忆力、计算力等高级皮质功能明显受损;脑神经阴性;四肢肌力V级,肌张力正常,腱反射(++),两侧对称;双侧巴氏征阴性,脑膜刺激征阴性。共济运动及感觉系统查体不能配合。全身浅表淋巴结未触及肿大,两肺未闻及干湿性啰音,心律齐,腹平软,肝脾肋下未触及,双下肢无水肿。血常规示三系减低:白细胞计数3.6 X10^9/L(参考范围:4.0 X 10^9/L一10.0×10^9/L),红细胞计数2.15×10^12/L(参考范围:4.00×10/L一5.50×10^12/L),血小板计数68×10^9/L(参考范围:100×10^9/L一300×109/L)],低蛋白血症[清蛋白28.5 g/L(参考范围:35.0一52.0g/L)];红细胞沉降率、肝肾功能及电解质均正常,维生素B、叶酸正常,3次血培养均阴性;艾滋病抗体阴性;抗核抗体、肿瘤标志物、自身抗体及抗中性粒细胞胞质抗体(ANCA)阴性,免疫球蛋白M轻度降低[0.28 g/L(参考范围:0.46—3.04 g/L)];乳酸脱氢酶[1 120 U/L(参考范围:135—225 U/L)]和血13:微球蛋白[3.7 mg/L(参考范围:1.0—2.5 zng/L)]明显增高。腰椎穿刺脑脊液检查示:压力150 illln H20(参考范围:80-180mmH20,1 mm H20=0.0098 kPa),白细胞计数7×10*6/L[参考范围:(0—10)X100/L],蛋白2.80 g/L(参考范围:0.10—0.25 g/L),氯离子:107 mmol/L(参考范围:120—130 mmol/L),糖3.5 mmol/L(参考范围:2.5~4.5 mmol/L);细胞学正常;IgG指数0.099;JCV—DNA阳性;单疱病毒、柯萨奇病毒、埃可病毒、巨细胞病毒等抗体阴性;墨汁染色阴性,细菌加真菌培养阴性。2.3影像学检查2009-12-25腹部CT提示脾脏偏大,2010-01-12复查腹部CT提示脾脏肿大、两侧肾上腺区团块影。2009-12-29颅脑MRI示两侧半卵圆中心、侧脑室旁多发病变009—12—24骨髓穿刺检查示有核细胞增生活跃,红系/粒系(G/E)=0.87:1;中性粒细胞增生(占40.4%),以中性中间阶段粒细胞为主;红细胞增生(占46.4%),以中晚幼红细胞为主;淋巴细胞比例下降;血小板计数较少,吞噬细胞增多,未见明显异常细胞,CD3、CD8、CD4、CD16、CD56均正常。









患者2009—12—27入住感染科,予头孢哌酮针及阿奇霉素针抗感染等治疗,病情无明显好转。2009—12—29行颅脑MPd检查示脑内多发脱髓鞘样病灶,于2010—01—06转入神经内科并行相关检查。根据该患者的临床和影像学特征,结合脑脊液中JCV的DNA序列检测以及骨髓穿刺病理活检结果,诊断为弥漫大B细胞淋巴瘤并发PML可能。虽经退热、补液,纠正贫血、低蛋白血症等积极治疗,但患者病情仍迅速进展,于2010—01—28凌晨出现呼吸、心搏停止,予气管插管、心肺复苏等积极抢救治疗后呼吸、心搏恢复。患者自动出院1 d后死亡,家属拒绝尸检
本例患者表现为视觉障碍、认知功能减退和精神行为异常等典型的PML症状,颅脑MRI检查符合典型的PML影像学表现;脑脊液中检测到JCV的DNA序列,病理活检证实弥漫大B细胞淋巴瘤侵犯骨髓,并且缺少其他感染或肿瘤的依据。因此,本例患者诊断为弥漫大B细胞淋巴瘤并发PML。PML患者通常处于免疫抑制状态,在此基础上需要与其他颅内多发病灶鉴别,如中枢神经系统血管炎、原发性中枢神经系统淋巴瘤以及脑弓形体病等。本例患者病史和实验室检查以及颅脑MRI表现均不支持以上疾病的诊断。目前,针对PML尚无特异的治疗措施,PML患者的预后极差,临床需引起足够的重视。当存在免疫缺陷或免疫抑制的患者出现典型的视觉障碍、认知功能改变、肌无力等症状时,应考虑本病的可能。本例患者虽经积极对症治疗,但患者病情仍迅速进展、恶化。因此,在病程早期行颅脑MRI检查以及腰椎穿刺脑脊液检测JCV的DNA序列,均有助于本病的诊断,必要时可行脑组织活检。明确诊断后应立即开始免疫重建治疗,抑制脱髓鞘的继续进展;同时避免医源性PML也非常重要。