打开应用

唇腭裂术后修复一例

王教授   四川大学华西口腔医院
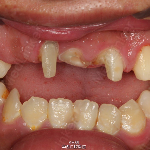
残根 残根 腭裂

主诉 病史

患者男,19岁,先天性唇腭裂,已行多次唇腭裂整复术,现要求进行前牙修复

查体 辅查

12牙残根,已做根管治疗,11牙扭转,位于中线处,已做根管治疗,22牙先天缺失

诊断 处理

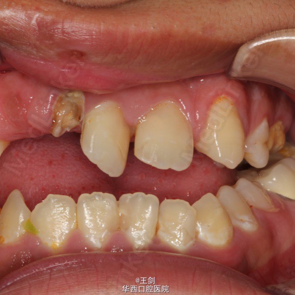
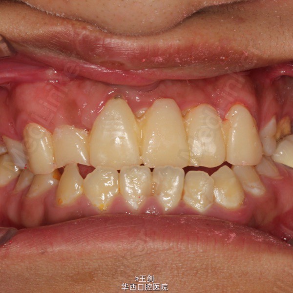
由于11牙正好位于中线,为保证修复效果,11牙作截冠处理,12牙残根纤维桩修复,并将12牙做成11牙的形态,最后做固定桥修复。图中显示牙体预备后正侧面观,可见前牙为反合状态,通过固定桥修复讲前牙关系改为切合。最后一图为戴暂冠后

随访 讨论

最终修复效果

发布于 15-06-16 23:59

13 个评论

发送