打开应用

唇腭裂正畸、自体牙移植病例一则

张助教   四川大学华西口腔医院
腭裂

主诉 病史

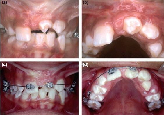
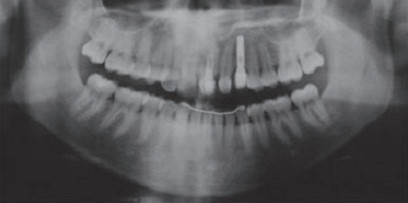
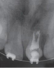
女,十岁,单侧唇腭裂致21牙、22、12牙畸形,且21牙、22牙间牙槽骨发育不全。经自体髂嵴骨移植后,拔除21牙、22牙行正畸治疗以将23牙移动至22牙位置。同时将正畸需拔除的下颌第一前磨牙移植到21牙的牙槽窝内。并在正畸治疗结束后树脂恢复21牙、22牙形态。患者18岁时拔除左上颌乳尖牙行种植义齿修复。

发布于 14-09-25 23:36

1 个评论

发送