打开应用

唇腭裂患者的联合治疗一例

林医师   四川大学华西口腔医院
腭裂

主诉 病史

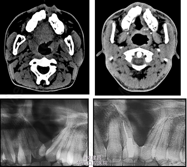
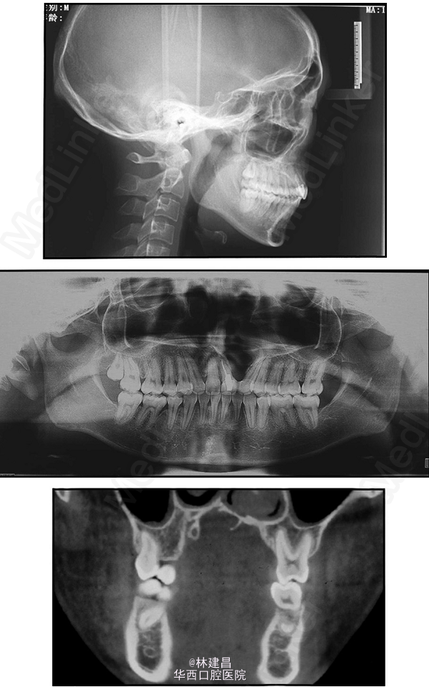
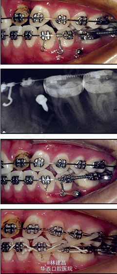
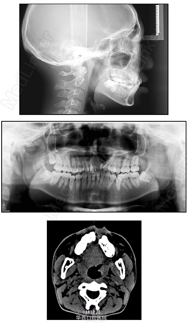
患者为18岁男性,面形凹,上颌骨发育不足,有一处重度牙槽突裂,因面部不美观,来正畸科求治。综合评价其病情后,为患者提供了手术和非手术两种方案,患者最终决定了非手术方案。此后患者的正畸治疗包括了扩弓、拔牙和牙周修复会诊。正畸治疗使用了新亚MBT托槽0.022x0.028(国产托槽也有好货!)配合微种植钉,排齐整平恢复I类磨牙关系。治疗完成1年后复诊。

发布于 14-12-30 14:19

0 个评论

暂无评论
发送