患者男,52岁,因“反复多关节肿痛24年,发现尿检异常、肾功能不全”入院。24年前患者饮酒后出现右侧第一跖趾关节肿痛、不能行走,数天后自行缓解。随后每年关节疼痛发作1~2次,多在饮酒后发生,疼痛逐渐累及双踝、双腕、掌指等关节,疼痛发作时均有发热、关节红肿等症状,服用吲哚美辛数日后可缓解。1997年起关节疼痛加重,手足及耳后出现皮下结节,破溃后有白色糊状物溢出,在当地诊为“类风湿性关节炎”,予多种止痛剂治疗但一直未行血尿酸检查。2005年3月,关节肿痛再次发作,伴面部浮肿,当地 查 尿 蛋 白 2+,尿 素 氮(BUN)16.85 mmol/L,血清肌 酐(SCr)189 μmol/L,尿酸 760μmol/L,收住我科。病程中曾长期服用大量止痛剂及中药汤剂,夜尿增多(3~4 次/晚)1 年 余。无特殊个人史及家族史。

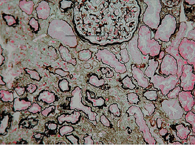
尿检示,尿蛋白定量0.3 g。尿蛋白谱:大分子11%,中分子33.4%,小分子55.5%。尿沉渣红细胞1万/ml,尿 N-乙酰-β-D 氨基葡萄糖苷酶(NAG)/肌酐比值为45.5 U/g·Cr, 尿视黄醇结合蛋白51.89 mg/L,尿渗量 355 mOsm/kg·H2O。尿 C3 2.68 mg/L,α2巨球蛋白 3.61 mg/L,24小时尿尿酸4.62 mmol。血生化示 ,白蛋白33.8 g/L,肝功能正常 。BUN 15 mmol/L,SCr 200μmol/L,血尿酸720 μmol/L;血钙 1.98 mmol/L。二氧化碳结合力 16.3 mmol/L,胆固醇 2.42 mmol/L。免疫学检查示,免疫球蛋白(Ig)及补体(C)均正常。类风湿因子阴性。T淋巴细胞F亚群 CD4/CD8为256/128个/μl。抗核抗体(ANA)、抗中性粒细胞胞浆抗体(ANCA)(-)等均阴性。C反应蛋白(CRP)165 mg/L。双肾B超示,左肾 91 mm×50 mm×44 mm,右肾91 mm×37 mm×44 mm,结构不清。胸片未见明显异常。肝胆B超示脾大。心电图示,窦性心动过速,室性早搏。肾组织病理检查示:高碘酸/乌洛托品银-马松(PASM-Masson)染色示,系膜区偶见嗜复红物沉积。小管-间质中度病变。片状小管萎缩,基膜增厚。未萎缩小管肥大,上皮细胞浊肿,偶见粗颗粒变性。间质片状增宽、纤维化+~++,少量浸润细胞灶性聚集,以单个核细胞为主,见中性粒细胞,一处间质见嗜碱性物质,周围见细胞反应。间质小动脉内渗出

痛风 痛风性肾病 痛风性关节炎常需与类风湿性关节炎鉴别。类风湿性关节炎一般以青、中年女性多见,好发于四肢的小关节及腕、膝、踝、骶髂和脊柱等关节,表现为游走性、对称性多关节炎,受累关节呈梭形肿胀,常伴有晨僵现象,反复发作可引起关节畸形。类风湿因子多为阳性,血尿酸不高。X线照片可见关节面粗糙,关节间隙狭窄,晚期可有关节面融合,但骨质穿凿样缺损不如痛见明显。 处理:给予秋水仙碱、别嘌醇、小苏打及其他保肾对症治疗。
出院后定期复诊,患者未再次出现关节疼痛,复查SCr下降至150 μmol/L,血尿酸降至406 μmol/L,Hb上升至10.2 g/dl,尿蛋白阴性。 讨论: 患者由于尿酸沉积,可引起痛见性肾损害。由于患者肾小管功能障碍,导致尿液pH降低;而血尿酸增高使原尿中的尿酸增多,尿酸易在远曲小管和集合管结晶而析出,引出肾小管与肾间质炎症。痛风主要引起三种类型的肾脏损害。 1、痛风性肾病 由于尿酸盐沉积在肾脏髓质,周围有白细胞和巨噬细胞浸润。一般病情进展较缓慢,晚期可因肾小管变性、萎缩及肾小球硬化而导致肾衰竭。由于患者常伴有高血压、肾动脉 硬化、尿路结石和尿路感染等因素,可加速肾损害进程。 2、梗阻性肾病 短期内大量尿酸结晶沉积于肾脏的集合管、肾孟、肾盏及输尿管内,引起尿路阻塞而发生急性肾衰竭。主要见于骨髓增生性疾病或肿瘤化疗或放疗后,尿酸生成大量增加,血尿酸急剧增高。大量尿酸盐结晶堵塞在肾小管、肾孟及输尿管内,引起尿路梗阻,患者突然出现少尿甚至无尿,如不及时处理可迅速发展为急性肾衰而死亡。 3、尿酸性肾石病 约84%尿酸性结石由单纯的尿酸构成,4%为尿酸与草酸钙的混合性结石,其余为草酸或磷酸钙结石。尿酸性结石形成与血尿酸浓度、尿酸排泄量及尿液pH有关。血尿酸浓度越高,尿酸排泄量越多,结石形成亦越多。当血尿酸大于770umol/l或24小进尿尿酸大于6.54mmol时,约半数患者发生肾石病。