下载或打开 医联APP 查看完整评论
立即下载
打开APP
1、TURP加双侧睾丸切除术后11年 2、患者于11年前在本院行前列腺电切术加双侧睾丸切除术后,术后病理回报:前列腺腺癌,(Gleason评分:4+5=9分)。术后予以康士得(50mg qd )内分泌治疗2年后改用福至尔(250mg tid)治疗至今。复查tPSA: 2011.02 tPSA:1.00 ng/L,2012.02 tPSA:0.804 ng/L,2013.02 tPSA:1.23 ng/L,2014.11 tPSA:2.57 ng/L。





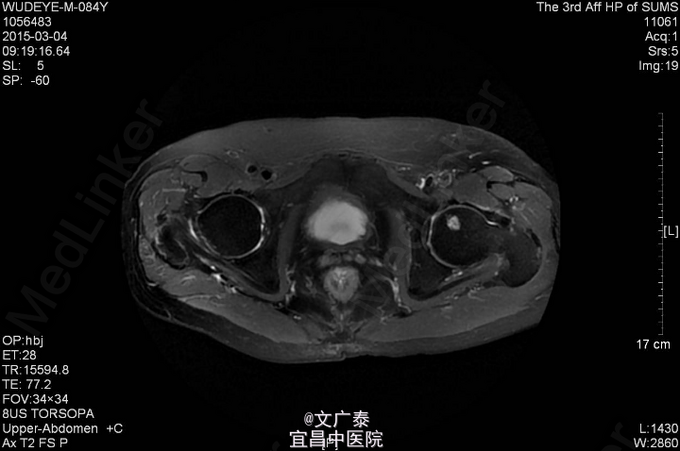
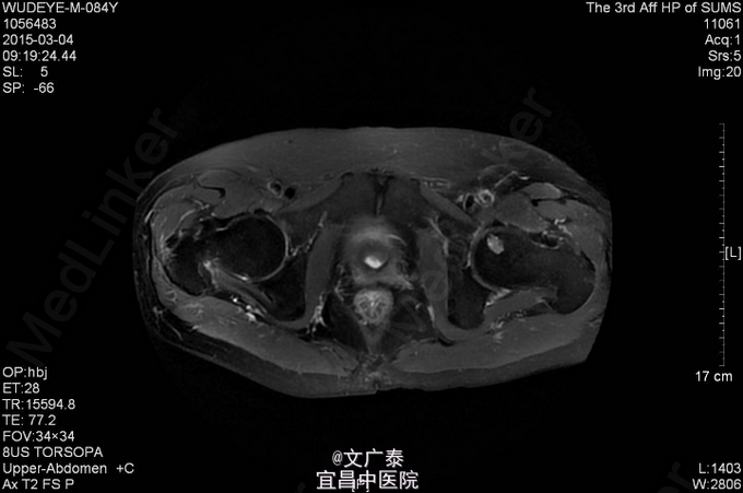
3、直肠指检:肛门括约肌正常,前列腺不大,无触痛,表面光滑,质韧,边缘清楚,中央沟存在,未触及明显结节,指套未见染血。余无异常 4、盆腔MR:前列腺癌术后。核素PET/CT全身:1.前列腺癌术后,局部软组织灶,未见明显异常代谢,考虑疤痕形成可能性大;
5、前列腺电切术后 双侧睾丸切除术后 6、拟行粒子植入手术,术后患者未诉明显不适,术后恢复可,PSA降至正常
7、前列腺癌的放疗可分为外放疗和内放疗,其中内放射性粒子植入术,即近距离治疗在局限性前列腺癌中的治疗应用由于其有创伤小、住院时间短的优点越来越普遍,且能够显著改善患者的生活质量,通过近距离治疗的早期前列腺癌已经上升到36%以上,取得10年生存率最高达96%的效果。不过其术后术后并发症如泌尿系症状、肠道症状、性功能等方面还是需要术后的多加护理和治疗。