患者女,22岁,腹部皮肤反复红肿伴疼痛4个月,加重1周。 门诊诊断:脂膜炎?丹毒?
体检:入院时一般情况好,体温36.5℃,各系统检查未见异常。 皮肤科检查:右下腹可见一3 cm×5 cm片状水肿性红斑,边界清。浸润、质硬,皮温稍高,触痛阳性。脐上方见8 cm×3 cm大小的瘢痕疙瘩。尿蛋白微量,尿潜血(+)。 入院后予予甲泼尼龙40 mg每日1次、24 mg每晚1次、丙种球蛋白15 g每日1次静脉滴注。 第8天病情突然加重,腹部剧烈疼痛后出现弥漫性肿胀性紫黑色斑,上覆血疱(图1)。 实验室检查:白细胞12.54×109/L,中性粒细胞0.87,血红蛋白95 g/L,血小板计数正常。D-二聚体>20 μg/ml(0-0.5)。


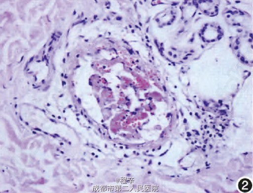
据其临床表现、实验室检查及病理修订诊断为暴发性紫癜。 调整用药为美罗培南、甲泼尼龙、丙种球蛋白、低分子肝素钙治疗,并予止痛、补液等支持治疗。 人院半个月,皮损扩散上至肋缘、下至耻骨联合以及两侧腰部。患者肛门周围剧烈胀痛后会阴至肛门肿胀坏死、质硬。合并肉眼血尿予持续膀胱冲洗。 血栓弹力图肝素酶对比试验提示:患者对肝素类抗凝药物不敏感。增加利伐沙班口服抗凝,并对症予滤白红细胞、血浆、冷沉淀静脉滴注。应用血制品后2-3 d病情可暂时缓解,随即反复,共应用3次。又予新鲜冰冻血浆2000 ml血浆置换2次,病情仍未得到根本控制。 入院第30天放弃治疗,转回当地医院,1周后病故。
暴发性紫癜(PF)是一种罕见的急性、严重、病死率高的疾病,其本质为消耗性血液凝固性疾病。 本例患者为成年人,其临床表现、实验室检查及病理符合PF,无菌血症及败血症相关证据,考虑为特异性PF。 本例患者病情进展时,临床表现及病理均提示血液处于高凝状态。但血浆凝血酶原时间、活化部分凝血活酶时间延长、纤维蛋白原减少、出血时间延长皆为明确的出血倾向,因此治疗困难。 大部分暴发性紫癜患者应用低分子肝素治疗有效。本例患者TEG肝素酶对比试验提示患者对肝素类抗凝药不敏感。