下载或打开 医联APP 查看完整评论
立即下载
打开APP
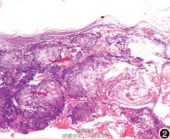
诊断:慢性放射性皮炎继发鳞状细胞癌。 治疗:给予阿维A 10 mg,每天2次口服,局部对症予以莫匹罗星软膏、复方泼尼松软膏、尿囊素外用。嘱患者注意手部保暖及避免外伤、感染。治疗2个月后随访,右手肿胀基本消退,溃疡基底清洁,愈合尚可,手部其他部位皮损明显改善,治疗期间检测肝肾功能及血脂均在正常范围。目前,患者仍继续口服阿维A 20 mg/d,双手掌角化脱屑继续好转,原有皮损无发展,亦无新发皮损出现,但原溃疡处难以愈合,请本院外科会诊,建议择期手术切除病变处并予以植皮。

体检:各系统检查无异常。


诊断:慢性放射性皮炎继发鳞状细胞癌。 治疗:给予阿维A 10 mg,每天2次口服,局部对症予以莫匹罗星软膏、复方泼尼松软膏、尿囊素外用。嘱患者注意手部保暖及避免外伤、感染。治疗2个月后随访,右手肿胀基本消退,溃疡基底清洁,愈合尚可,手部其他部位皮损明显改善,治疗期间检测肝肾功能及血脂均在正常范围。目前,患者仍继续口服阿维A 20 mg/d,双手掌角化脱屑继续好转,原有皮损无发展,亦无新发皮损出现,但原溃疡处难以愈合,请本院外科会诊,建议择期手术切除病变处并予以植皮。

已有研究表明,阿维A对于基底细胞癌、鳞癌、Bowen病及日光性角化病等多种皮肤肿瘤及癌前期病变均有较好的疗效。考虑到本例患者放射性皮炎主要表现为角化性皮损,皮损广泛且继发恶变,但癌肿侵犯不深,全部手术切除创伤太大,我们予以低剂量阿维A长期口服,显示了较好的疗效。