下载或打开 医联APP 查看完整评论
立即下载
打开APP
患者女,75岁,因“左胸部红斑水疱伴痒半月余”入院。患者10年前行右乳腺癌切除手术,放疗数日后于左胸壁出现水肿性红斑,边界清,按“放射性皮炎”予糖皮质激素乳膏数周,红斑消退留有脱屑。半月前原放射性皮炎的位置上出现片状浮肿性红斑,并于红斑基础上出现数个水疱,伴有瘙痒,水疱以放射性皮炎位置为主,背部下肢相继出现皮损很快干燥结痂,但左胸部腰部水疱不消退。
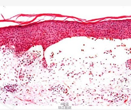
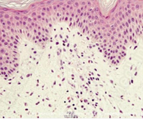
体检:左胸部见片状浮肿性红斑,红斑基础上有数个直径1—3cm不等的大疱。右背部及左小腿胫前见约直径1—3cm红斑,上见血痂。 实验室检查:血常规正常;组织病理为表皮下大疱,直接免疫荧光显示基底膜带IgG和C3沉积,间接免疫荧光显示抗基底膜带IgG滴度为l:10,C3阳性。



诊断:放射性皮炎继发大疱性类天疱疮 处理:予米诺环素100 nlg每日2次口服;烟酰胺300mg每日2次口服。用药2周后水疱干涸结痂。部分痂皮脱落,皮损控制满意。3周后米诺环素减为100 mg每日1次口服,烟酰胺剂量不变。目前病情稳定,患者仍在随访中。
讨论:放射性皮炎继发BP的皮肤表现较普通BP要轻,临床治疗效果要好。如何降低放疗该副作用?10.3760/cma.j.issn.0412-4030.2010.06.026