患者,男性,64岁,因进行性呼吸困难、胸闷、咳嗽咳痰而入院。职业为造船技师,有石棉暴露史。无吸烟史。

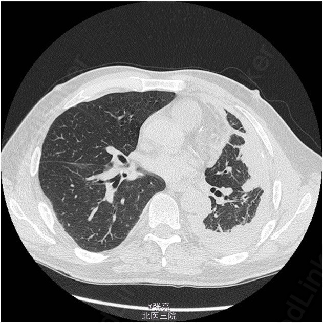
胸片提示左侧胸腔积液。CT扫描显示弥漫性胸膜增厚和肺胸膜大块侵入左肺。
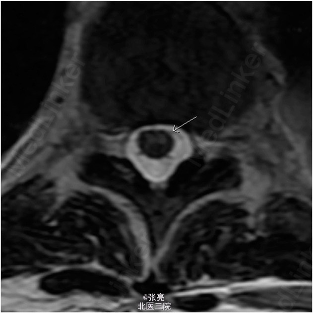
胸腔镜活检确诊为恶性胸膜间皮瘤。患者接受了四个疗程的化疗(顺铂/陪美曲塞),影像学随访显示肿瘤体积逐步缩小。超声引导内镜针吸活检纵隔淋巴结提示无转移。患者一般状态及心肺储备良好。故决定行胸膜外全肺切除术。 顺利在左侧脊柱旁T5到T6节段水平植入导管。给予患者双腔气管内插管,桡动脉和中心静脉置管。患者取右侧卧位,取左侧后外侧切口。肿瘤超出了胸膜覆盖范围,广泛侵犯主动脉周围,但主动脉和肿瘤之间界线清楚。 胸膜外全肺切除术进展顺利,整块切除了受累肺组织、纵隔淋巴结、左侧膈肌和同侧受累的局部心包膜。对T3到T6节段水平的同侧上段胸椎节段动脉进行缝合结扎及电凝切断。相应节段平面和神经管无活动性出血。 给予2 mm的聚四氟乙烯(GROE-TEX)补片修补缺损的膈肌和心包。止血良好。总出血量估计在1300 ml,输注5个单位的浓缩红细胞。术后患者转入ICU,给予小剂量0.5 mcg/kg/min的去氧肾上腺素维持血压。 到达ICU时,患者血流动力学稳定,神经功能完整。手术当晚,患者经历了两次短暂的低血压过程,每次持续不到1min,收缩压降低至60-70 mm Hg。给予输液和调整升压药剂量好有效维持血压。 第二天早晨,护士发现患者双下肢不能活动。体格检查发现双下肢瘫痪,感觉保留。MRI提示,脊髓中枢T5到T12节段水平T2异常高信号,无脊髓硬膜外血肿或脊髓压迫。这些表现与脊髓缺血相一致。 立刻给予患者改善脊髓灌注的标准治疗方案。维持平均动脉压在80mmHg,麻醉师行腰大池引流,降低脑脊液压力至10cmH2O以下。在接下来的2周中,患者下肢运动功能略有改善。但功能上仍截瘫,有大小便失禁。 术后17天,患者转入康复医院接受进一步治疗。


胸膜外全肺切除术有许多并发症,但就作者所知及文献回顾,这是首次术后出现截瘫的报道。开胸术后截瘫的报道一般与局部硬膜外出血所致脊髓压迫或由于止血剂造成的节段椎孔压缩导致的脊髓节段压迫相关。 将肿瘤从后纵隔和胸主动脉行钝性分离,可导致节段动脉或结扎部位撕裂。脊髓灌注取决于对侧完整的节段动脉血供和低位胸椎水平Adamkiewicz动脉的完整。脊髓前角缺血好发部位是在T9到T12节段水平,往往是由于Adamkiewicz动脉区域性缺血所造成。 本文报道了一个罕见的高位脊髓前角缺血,根据MRI推测很可能是由于脊髓中段血管解剖变异所造成。虽然患者术后经历了两次短暂的低血压发生,但是脊髓灌注不良才是造成患者术后截瘫的最可能原因。 对于此类患者需关注这一之前未报道的罕见并发症。应告知患者及其家属这一重要并发症及其可能的风险。