打开应用

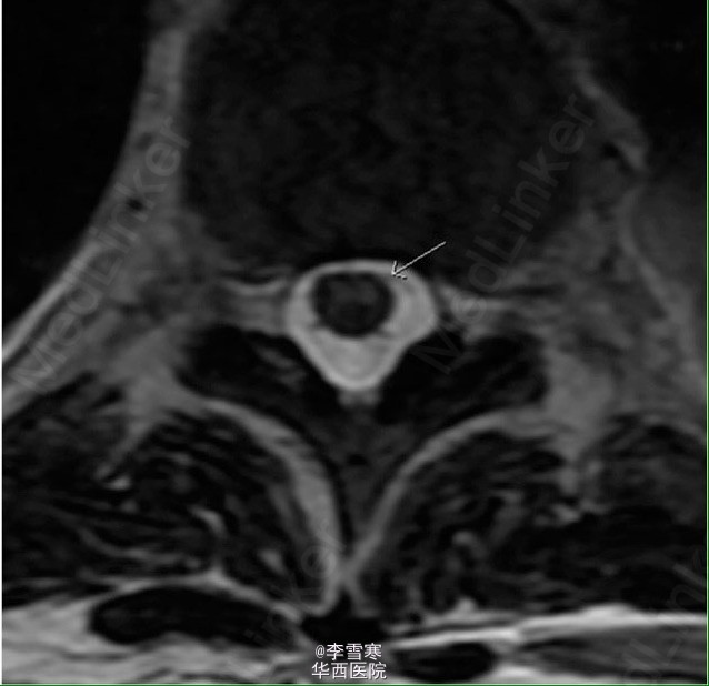
胸膜外全肺切除术后脊髓缺血

李医师   四川大学华西医院

主诉 病史

患者肺部活检为恶性胸膜间皮瘤,行胸膜外全肺切除术,术中两次低血压,术后第二天双下肢不能动弹,仅存知觉。转自网络

发布于 14-12-01 14:31

0 个评论

暂无评论
发送