下载或打开 医联APP 查看完整评论
立即下载
打开APP
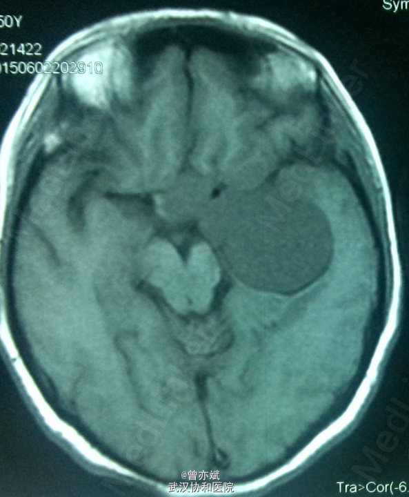
主诉:左眼视力下降十余年 简要现病史:患者10余年前出现左眼视力下降,当时未在意,近期右眼视力下降,行CT提示颅内占位。
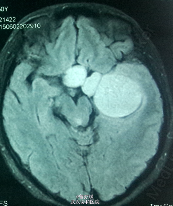
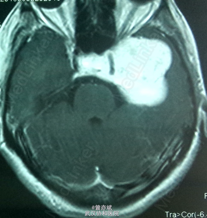
查体:左眼视力0.8 颞侧偏盲,右眼视力 0.5 余无明显阳性体征。既往无特殊。 MRI: 稍长 T1,高flair信号,增强明显强化 ,其内点片状强化减低区。诊断:鞍区、中颅窝底巨大占位,考虑脑膜瘤可能性大。





诊断:脑膜瘤?海绵状血管瘤? 处理:手术切除 。
从 MRI上看,矢状位 增强可疑脑膜尾征,增强虽然明显但 不均匀 ,酷似脑膜瘤表现,手术中所见血供丰富,肿瘤实质多为血窦,考虑海绵状血管瘤。如果术前 能 诊断是海绵状血管瘤 ,是开颅手术还是分次伽马刀? 有大神指点一二不?