下载或打开 医联APP 查看完整评论
立即下载
打开APP
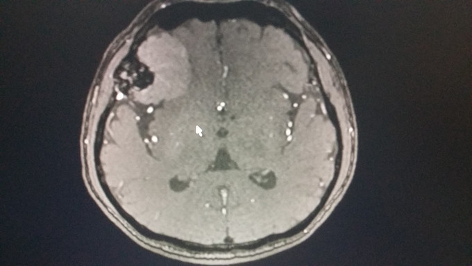
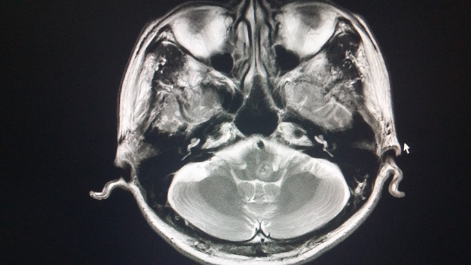
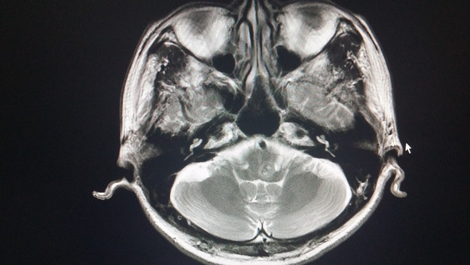
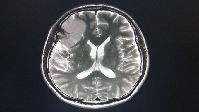
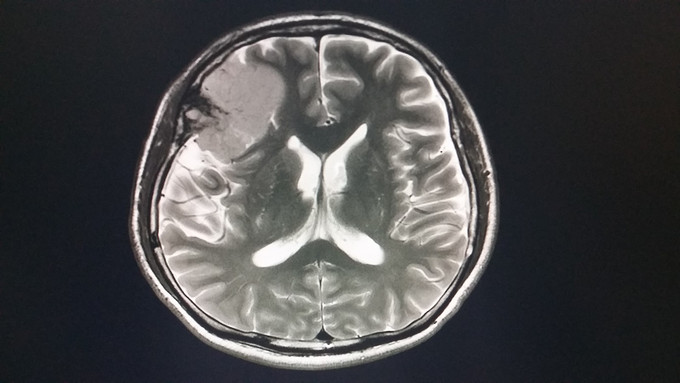
1、患者 男 67岁 体检发现颅内占位病变2月,右侧肢体麻木、头晕10天;既往有高血压病史 2、患者2月前体检行头颅CT检查发现右侧脑膜留,未做特殊处理,10天前无明显诱因出现右侧肢体麻木,头晕,饮水呛咳,口水及吃饭难于下咽,到当地医院就诊查头颅MRI:右侧蝶骨脊脑膜瘤可能,延髓偏左侧出血,海绵状血管瘤可能。
3、神清,伸舌居中,咽反射双侧消失;四肢肌力5级,右侧肢体感觉减退 4、头颅MRI:右侧蝶骨脊脑膜瘤可能,延髓偏左侧出血,海绵状血管瘤可能





5、入院诊断:1.右侧蝶骨脊脑膜瘤 2.海绵状血管瘤 6、完善术前相关检查,在全麻下行脑膜瘤切除术及延髓段海绵状血管瘤夹闭术,考虑到延髓为呼吸循环中枢术后入重症监护室治疗,予以心电监护及呼吸机辅助呼吸,密切关注患者生命体征。
脑膜瘤是发生于脑膜细胞的良性肿瘤,肿瘤发展越快,多发性肿瘤机会越多,首选手术治疗,手术后复发率也较高患者要注意随访术后若出现不适,及时到医院就诊,延髓段海绵状血管瘤一旦出血危险极大,主要是延髓为呼吸循环中枢因此在未发生出血前及早治疗。