打开应用

牙痛?其实是颅内胆脂瘤!

黄医师   北京中医药大学第三附属医院
三叉神经痛 颅内胆脂瘤 神经痛

主诉 病史

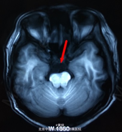
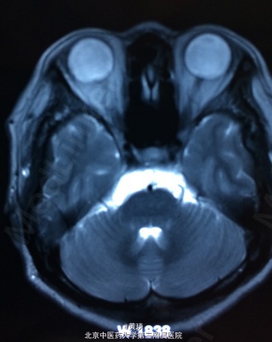
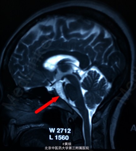
患者女,75岁,自诉压槽疼痛10年,未予重视,曾行封闭治疗无效,来我院,本来诊断为普通三叉神经痛,结果行MRI示:桥小脑角区占位,胆脂瘤,T1相高信号,T2相低信号,抑脂相高信号,压迫右侧三叉神经。

查体 辅查

见图

诊断 处理

诊断:胆脂瘤,继发三叉神经痛 处理:开颅切除胆脂瘤

随访 讨论

讨论:神经就是一根电线,插座,癫痫本身,接头等等除了问题,表现都差不多。一定要思维缜密,一单漏诊后果不堪设想,有可能造成不可逆的损伤。

发布于 15-06-06 16:50

13 个评论

发送