下载或打开 医联APP 查看完整评论
立即下载
打开APP
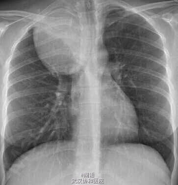
患者,女,28岁,体检时胸片发现右肺上顶部巨大肿块。否认呼吸道症状。追问病史,剧烈运动后面部有不对称性潮红,右脸易多汗。

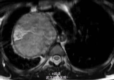
MRI扫描提示神经鞘瘤。


胸外科进行切除,组织学证实为神经鞘瘤。
患者表现为神经鞘瘤所引发的“丑角综合征(Harlequin syndrome)”。其特点是面部不对称性的潮红和出汗,即患侧的自主神经功能紊乱。本例单侧面部潮红多汗是由于肿瘤压迫颈部交感神经链所致。切除肿瘤后,症状显著改善。