下载或打开 医联APP 查看完整评论
立即下载
打开APP
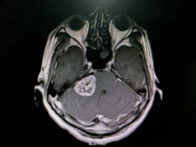
患者36岁男性,因“右侧听力下降10余年,加重伴耳鸣2年”入院。余病史无特殊。
查体:生命体征平稳。神经系统检查提示:Ⅴ颅神经:右侧面部感觉稍减退,张口下颌无偏歪 。Ⅷ颅神经:右侧听力较左侧减退,无眩晕 。外院检查示行磁共振检查提示:右侧桥脑小脑角占位:听神经鞘瘤?辅助检查:颅脑MRI检查提示:右侧桥小脑角处可见类圆形占位性病变,边界清,形态规则,大小约24.8mm×33.8mm。右侧桥小脑角区占位,考虑听神经鞘瘤。



诊断:听神经鞘瘤 处理:右侧枕下乙状窦后入路听神经瘤切除术
听神经鞘瘤起源于听神经鞘,是一典型的神经鞘瘤,此瘤为常见的颅内肿瘤之一。本瘤好发于中年人,高峰在30~50岁,最年幼者为8岁,最高年龄可在70岁以上。发生于小儿的单发性听神经鞘瘤非常罕见。肿瘤多数发生于听神经的前庭段。本瘤属良性病变,即使多次复发亦不发生恶变和转移。