半年前无明显诱因出现右侧肢体乏力伴视物模糊,呈进行性加重



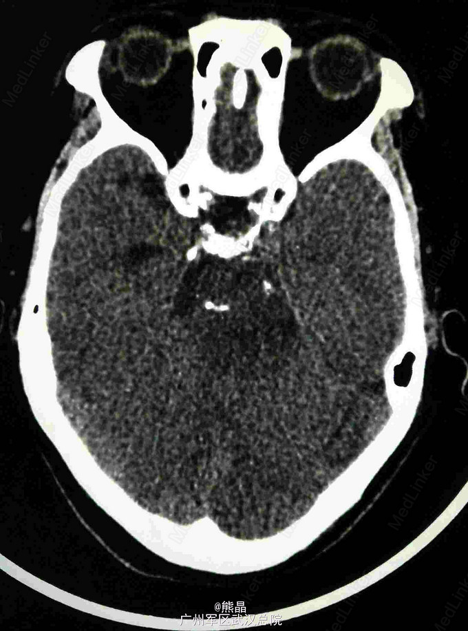
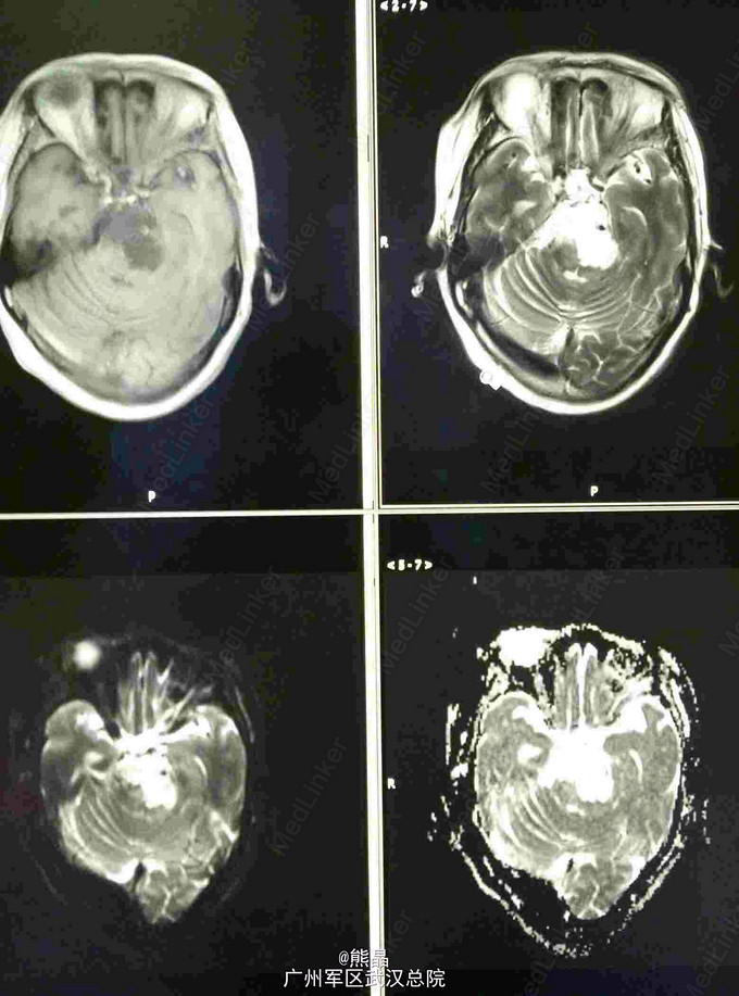
查体:左上肢屈曲状态,不能伸直 CT:碟鞍区及脑干区可见大片状密度减低影,右侧碟鞍骨质有破坏征象 MRI:肿块呈长T1长T2信号,增强呈蜂窝状强化
脊索瘤 行手术切除
脊索瘤起源于胚胎残留的脊索组织。在胚胎期间,脊索上端分布于颅底的蝶骨和枕骨,部分达到颅内面,并与蝶鞍上方的硬脑膜相衔接,在枕骨部分可达该骨之下面(即舌咽面),一部分亦可位于颅底骨和咽壁之间。脊索的下端分布于骶尾部的中央及中央旁等部位。因此脊索瘤好发于这些部位,尤以颅底蝶枕部和骶尾部为最多见,脊柱型者次之。颅内脊索瘤为良性肿瘤,生长缓慢,病程较长,平均可在3年以上 头痛为最常见的症状,约70%的病人有头痛, 有时在就医前即已头痛数年, 常为全头痛,也可向后枕部或颈部扩展。头痛性质呈持续性钝痛,一天中无显著变化。如有颅内压增高则势必加重,脊索瘤的头痛与缓慢持久的颅底骨浸润有关,头痛也可再发。 颅内脊索瘤的临床表现可因肿瘤部位和肿瘤的发展方向而有所不同。 ①鞍部脊索瘤 垂体功能低下主要表现在阳萎、闭经、身体发胖等。视神经受压产生原发性视神经萎缩,视力减退以及双颞侧偏盲等。 ②鞍旁部脊索瘤 主要表现在Ⅲ、Ⅳ、Ⅵ脑神经麻痹,其中,以外展受累较为多见, 这可能因为展神经行程过长,另外,展神经的近端常是肿瘤的起源部位,以致其发生率较高。一般均潜在缓慢进展 甚至,要经1~2年。脑神经麻痹可为双侧,但常为单侧,难以理解的是往往在左侧。 ③斜坡部脊索瘤 主要表现为脑干受压症状,即步行障碍,锥体束征 第Ⅵ、Ⅶ脑神经障碍, 其中, 双侧展神经损害为其特征。 ④广泛型:病变范围广泛,超出以上某一类型,甚至延伸至颅底移位区域,据有以上相关类型的临床症状和影像学表现。 ⑤并发症: 由于肿瘤发生于颅底,可引起交通性脑积水。如肿瘤向桥小脑角发展,则出现听觉障碍,耳鸣、眩晕。脊索瘤起源于鼻咽壁近处,常突到鼻咽或浸润一个或更多的鼻旁窦。引起鼻不能通气、阻塞、疼痛,常见有脓性或血性鼻分泌物,也因机械性阻塞、致吞咽困难,鼻咽症状常在神经受累之前出现,必须切记查看鼻咽腔有13%~33%的机会看到肿块。 治疗:包括手术,放疗,化疗