下载或打开 医联APP 查看完整评论
立即下载
打开APP
患者女性,63 岁,身体状况下降,在过去几个月期间表现为进展性头痛,无力,步态不稳。
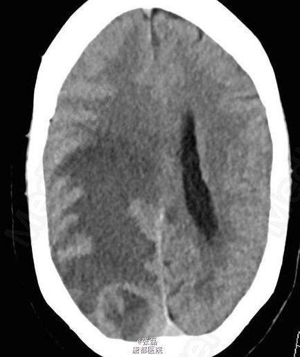
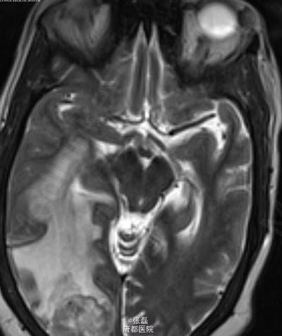
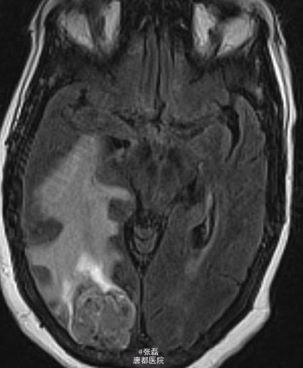
颅脑平扫 CT 显示右侧枕叶肿块,其内密度不均,中间呈低密度。周围脑组织呈血管源性水肿性低密度,邻近脑沟、裂变窄变浅,右侧侧脑室受压变形。 颅脑平扫加强化 MRI 显示:右侧枕叶见一长 T1 等长 T2 异常信号,FLAIR 呈高信号,注入对比剂后呈明显不均质强化,中间呈坏死性不强化改变。病变强化后边界不清,邻近脑实质和后方软脑膜受侵。病变定位脑内,非硬脑膜起源,未见脑膜尾征。周围脑组织可见血管源性水肿征象,累及皮层下和深部白质。MRI 显示较 CT 清晰、明显。 病理诊断:脑转移瘤



大多数伴有脑部转移瘤的患者多采用全脑放射治疗(WBRT),对于单发转移瘤或少数多发也可以考虑手术联合 WBRT 的方式进行治疗。
中枢神经系统以外的恶性肿瘤脑转移最常见方式为血源性播散。