患儿女,5 岁 10 个月,因间断腹痛 7 d,全身浮肿 4 d 入院。 【现病史】 患儿入院前 1 周于进食腊鸭后出现腹痛,为脐周阵发性隐痛,可自行缓解。后发展为呕吐胃内容物,食后即吐,无胆汁及咖啡渣样物。4 d 前家长发现患儿眼睑浮肿,且进行性加重,双下肢逐渐出现凹陷性水肿。患儿发病以来无发热,无咳嗽、无腹泻等症状
体温 36.4℃,脉搏 100 次 / 分,呼吸 26 次 / 分,体重 24 kg,身长 122 cm。神志清,精神可。眼睑水肿,双下肢凹陷性水肿,颈部可触及多枚蚕豆大小淋巴结,质软,可活动,皮肤巩膜无黄染。咽充血,双侧扁桃体Ⅱ°肿大,可见脓栓,双肺呼吸音清。心律齐,心音有力,心脏各听诊区均未闻及杂音。腹部饱满,全腹柔软,无压痛,肝脏右肋下 2.5 cm,质软,脾脏左肋下未触及,移动性浊音阳性。 【辅助检查】 血液分析:WBC 17.15×109 /L,N 0.213,L 0.605,EOS 0.015,RBC 4.53×1012/L, Hb 136 g/L, PLT 228×109 /L,外周血细胞形态未见明显异常。尿液分析未见异常。肝功能检查:总蛋白(TP) 36.3 g/L (参考值 60.0~80.0 g/L),白蛋白(ALB)20.0 g/L(参考值 39.0~53.0 g/L),球蛋白(GLB)16.3 g/L(参考值 20.0~40.0 g/L),谷丙转氨酶(ALT)23 U/L(参考值 0~40 U/L),谷草转氨酶(AST)50 U/L(参考值 10~50 U/L)。电解质(4 项):Ca2+ 1.98 mmol/L (参考值 2.0~3.0 mmol/L),Na+ 、K+ 及 Cl- 正常。肾功能、心肌酶谱、凝血象无异常,降钙素原检测(金标法,定量) 0.073 ng/mL(参考值 0~0.046 ng/mL)。巨细胞病毒(CMV)IgM 阳性,CMV-IgG 阴性。EB 病毒抗体(4 项)EBVCA-IgG 阳性,余阴性。艾滋病抗体、梅毒抗体、乙肝全套、丙肝抗体及细小病毒 B 19 -IgM 均阴性。IgE 60.40 IU/mL(参考值 0~60 IU/mL)。胸片检查正常。腹部彩超示腹腔积液(膀胱后方可见前后径约 3.3 cm 的无回声区)。小肠结肠双期增强 +体层成像检查未发现小肠及结肠有明显扩张积气及狭窄征象,腹膜后、肠系膜淋巴结稍多、增大。
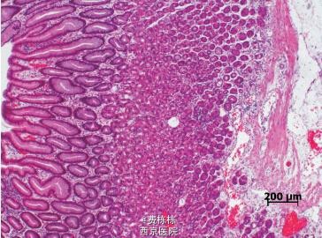
入院后给予抗感染(更昔洛韦、头孢美唑)、输注白蛋白(总量 1 g/kg,入院 1 周内分 3 次输注)及利尿等治疗,患儿水肿消退,腹痛及呕吐缓解 ,颈部淋巴结缩小,扁桃体分泌物消失。进一步行全身麻醉下电子胃镜及结肠镜检查,发现胃底及胃体黏膜明显充血水肿,呈结节样肥厚、隆起,其表面可见糜烂,质脆易出血,较多白色黏液覆盖黏膜表面;食管、贲门、胃窦、胃角、幽门、十二指肠球部未见异常。结肠镜检查未见异常。取胃窦及胃体黏膜活检,提示胃窦黏膜组织呈慢性炎症改变,嗜酸粒细胞约 1 个 /HPF;胃体黏膜上皮呈管状腺瘤样增生,固有膜及黏膜下层水肿明显,并见散在的炎性细胞浸润,嗜酸粒细胞最多约 15 个 /HPF,免疫组化检查示幽门螺杆菌(Hp)阴性,CMV 阴性。之后给予洛赛克抑酸、吉法酯保护胃黏膜等治疗。入院后第 16 天复查肝功能全套(9 项)TP 64.4 g/L,ALB 35.8 g/L,GLB 28.6 g/L,均较入院时升高,白蛋白仍低于正常值,电解质及血液分析未见异常。入院第 26 天在全麻下行超声胃镜检查,提示胃体可见多处的第二层无回声性增厚,最厚处达 5.8 mm,胃部周围未见明显增大的淋巴结。考虑诊断“蛋白丢失性胃病”(protein-losing gastropathy, - PLG)。



入院后第 30 天及出院后随访 6 个月血浆蛋白水平、血液分析均无异常,患儿未再出现腹痛、呕吐、水肿等症状,出院半年复查胃镜,显示胃黏膜已恢复正常。