下载或打开 医联APP 查看完整评论
立即下载
打开APP
男,75岁。左颧部结节2年余。 2年前无明显诱因,患者左颧部出现一个黄豆大结节,无自觉症状,渐增大。 患者有高血压病史10年。

皮肤科检查:左颧部一约2.5cm×2.5cm结节,质中等,稍隆起,与周围组织无明显粘连,活动度好,无破溃,皮色较周围皮肤深,表面可见多个大小不等的淡黄色丘疹。

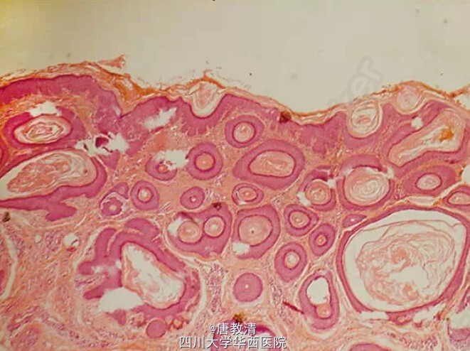
予手术切除。术中所见:切至约0.5cm处见大量的皮脂腺增生,可挤出较多白色奶酪样物质。 诊断:毛发腺瘤。
本病临床经过良性,本例患者术后2年随访无复发。 毛发腺瘤由Nikolowski首先报告,故又称Nikolowski毛发腺瘤,是一种少见的皮肤良性肿瘤。 多发于面部,其次臀部。其他少见发于颈部、上臂、大腿、肩部、眼睑、上唇及阴茎。 毛发腺瘤大小通常在0.3cm~5.0cm之间,临床上常表现为黄色丘疹、结节,皮损单发,边缘呈珍珠样灰色,质硬。 因临床表现无特异性而常被误诊,临床上要注意与基底细胞癌、表皮囊肿、结缔组织增生性毛发上皮瘤及微囊性附属器癌相鉴别。

