下载或打开 医联APP 查看完整评论
立即下载
打开APP
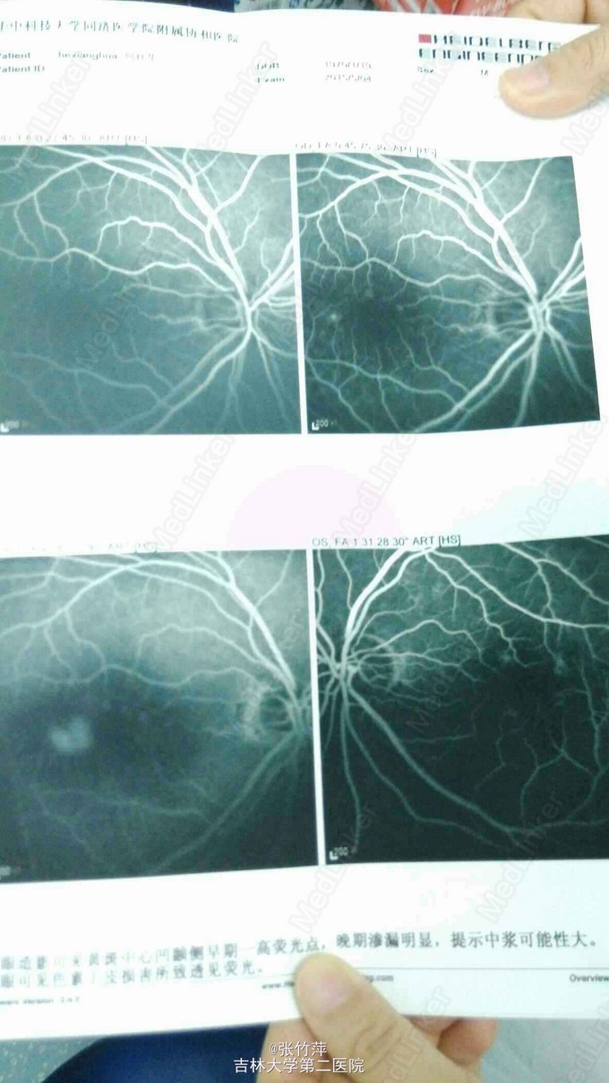
女,45岁。 述视力下降,伴中央暗区一月余。
FFA示静脉期在视网膜浆液性脱离区出现一个荧光素渗漏点,呈墨渍样弥散扩大。 OCT示黄斑盘装脱离区视网膜隆起,其下液性暗区,伴有两个RPE脱离隆起,RPE下液性暗区。


诊断为中心性浆液性脉络膜视网膜病变。 由于渗漏点距中心凹200um以外,采用激光光凝渗漏点,可促进RPE屏障修复和视网膜下液吸收。
中心性浆液性脉络膜视网膜病变(CSC)简称“中浆病”,是指黄斑区或者后极部由于色素上皮屏障功能受损,液体进入神经上皮下导致的神经上皮脱离,可伴有RPE的脱离。中浆病在我国发病率较高,属于最常见的眼底病之一。患者大多为青壮年男性。发病年龄20~45岁,发病高峰在40岁前后。男女之比为5∶1~10:1。90%以上单眼受害,左右眼无差别。大多能在3~6个月内自行恢复,是一种自限性疾病。但也易复发,多次反复后可导致视功能不可逆性损害。碰到此类患者应提高警惕。