下载或打开 医联APP 查看完整评论
立即下载
打开APP
主诉:反复胸背痛1年,加重1月。 病史:患者1年前无明显诱因出现右侧胸背痛,性质为隐痛,无向周围放射。遂至当地医院门诊就诊,查胸部CT,考虑“胸膜肿瘤”,建议手术处理,但患者拒绝未予治疗,症状持续数天后自行消失。后间断出现类似症状,但均可忍耐。1月前患者自觉右上肢上抬及抬举重物时右侧胸背痛明显,不伴有其余部位牵涉痛,未予重视。近1周来,患者自觉症状加重,疼痛致右上肢不可上抬,弯腰时加重,平卧时可缓解。现为进一步手术治疗入院,无发热,无头晕、头痛,无咳嗽、咳痰,无气促、心悸,无恶心、呕吐,无腹痛、腹泻,无皮疹、无双下肢浮肿。自起病以来,精神、睡眠可,食欲可,二便正常,体重近1月下降2kg。
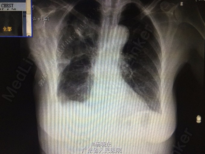
查体:右侧胸肋部及肩胛区压痛明显。 辅查:胸片,CT。






诊断:胸膜间皮瘤 处理:右侧胸膜肿瘤切除术
术中病理显示为结核脓肿,改行右侧胸膜结核性脓肿扩大清除术+右肺楔形切除术。 术后予加用异烟肼+利福平+乙胺丁醇联合抗结核治疗。


