打开应用

一例罕见的胸膜肿物:冬眠瘤

刘医师   青海省人民医院
胸膜肿物

主诉 病史

37岁男性,既往无特殊不适,因常规胸部X线检查异常而来就诊。

查体 辅查

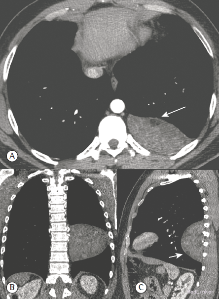
查体及实验室检查均未见异常。胸片提示左下胸廓巨大不透亮影。胸部CT提示为左下胸密度不均匀胸膜肿物(图1)。该肿物为来源于胸壁的肺外肿物,未见钙化。

诊断 处理

对该肿物进行完整外科切除。大体标本可见一界限清晰、被包裹、质软的黄褐色肿物,大小约10x9x5cm(图2A)。病理检查诊断为冬眠瘤(图2B)。

随访 讨论

冬眠瘤又称棕色脂肪瘤,起源于胎儿残留的棕色脂肪组织,是一种罕见的良性脂肪组织肿瘤,因形态相似于动物冬眠腺中的棕色脂肪而命名。冬眠瘤约占良性脂肪性肿瘤的1%~6%,约占所有脂肪性肿瘤的1.1%。 doi: 10.1590/S1806-37132015000100015.

发布于 15-11-26 00:29

15 个评论

发送