下载或打开 医联APP 查看完整评论
立即下载
打开APP
患者,女,2月前因发现右乳肿物
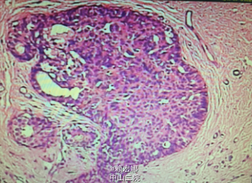
曾在局麻下行B超引导下右侧乳腺肿物穿刺活检术 +右侧腋窝肿物穿刺活检术,原发肿物:右乳12点钟乳晕旁见一大小为2.5*2.1cm的实性低回声团,右侧腋窝淋巴结3.5*1.9cm,术后病理:(右乳肿物、右腋窝肿物穿刺)乳腺浸润性导管癌,Ⅲ级。免疫组化:ER(-)、PR(-)、Her-2(3+)、Ki-67(+,40%)、P63(-)、E-cad(+)、Calponin(-)。
右侧乳腺癌诊断明确,予以TE新辅助化疗三次后,复查彩超:右乳12点钟乳晕旁见范围约1.4*0.9cm的实质性低回声团,边界不清,右乳10点钟方位见一大小为0.7*0.3cm的实性低回声团,边界清,形态规则,提示:1.右乳实性占位,多考虑乳腺Ca可能(较前次检查明显缩小);右乳实性低回声团,多考虑增生结节可能(BI-RADS Ⅱ类);双侧乳腺符合乳腺增生征象;2、双侧腋窝见淋巴结(右侧部分淋巴结淋巴门偏心)。患者经新辅助化疗后肿物明显缩小。患者完善相关检查,无明显手术禁忌症,遂在全麻下行右侧乳腺癌改良根治术+前哨淋巴结活检术,术后病理:1、(右侧乳腺浸润性导管癌癌灶剔除术后)残腔未见癌残留;2、乳腺及皮瓣四侧切缘,基底边缘及乳头未见癌浸润;3、(前哨、腋窝)淋巴结未见癌转移(0/3、0/14)。



术后行TE方案化疗,患者无明显不适。