下载或打开 医联APP 查看完整评论
立即下载
打开APP
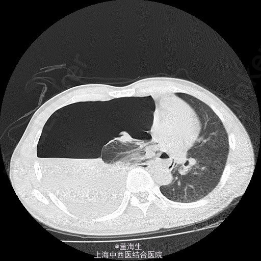
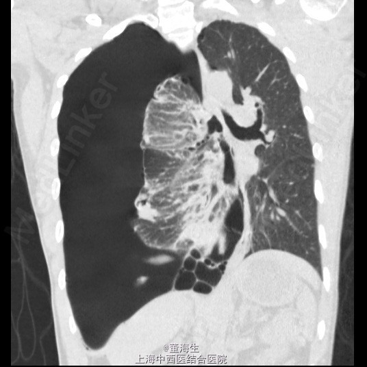
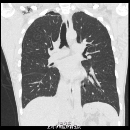
患者,男,39岁。 1.主诉、现病史:患者因为“突发胸闷1日”入院。患者入院当日1:00突觉胸闷,至约16:00来院就诊,辅查胸部CT后如附图1,附图2。既往无类似发作史。 2.查体:患者神清,精神状态良好,生命体征平稳,无气促。右肺听诊呼吸音消失,左侧正常。 3.辅助检查:胸部CT表现如附图1,附图2,血常规提示120g/L,血红蛋白压积正常。 4.诊断:右侧自发性血气胸。 5.处理方案: ①入院后明确诊断,即刻取右侧锁中线第2肋间行胸腔闭式引流。置入8F一次性引流导管一根(该导管头端卷曲,有多个侧孔),导管接水封瓶。静脉给予抗生素及凝血酶,床边心电监护。 ②闭式引流后3小时内引流大量气泡并引流血性液1100ml,即刻复查血常规提示Hgb102g/L。 ③引流3小时后观察引流液不再明显增加,至第二日晨共1400ml血性液,复查血常规仍为102g/L。 ④引流第二日起引流液色逐渐转至浆液性,至入院第6日共引出液体2100ml,负压波动消失,每日引流量少于100ml。予夹闭引流管。 ⑤夹管24小时后复查胸部CT,结果见附图3,附图4。当日予拨除胸腔闭式引流。 6.随访复查:出院后1周,门诊复查胸片及胸水B超,提示无气胸及液胸。 7.分享病例的体会: 实习时老师教导,每小时胸引>200ml血性液,应急诊行剖胸探查。该病例实际治疗时因读片提示胸腔大量积液,保守估计该有1500ml左右,且发病至入院已约15小时,且患者生命体征平稳。故治疗时采取的思路为先放尽积液再计算单位时间内引流量,同时密切观查患者生命体征变化。 此病例没有盲从缺少先决条件的临床条例,免除了患者的手术痛苦。 是否得当请广大同行指正!



