打开应用

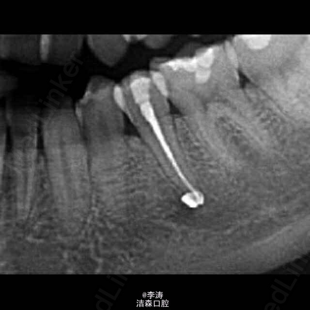
根管超填至颏孔一例,想要救你不容易!!!

姜医师   重庆医科大学附属第一医院

主诉 病史

遇一病人女性,20岁左右,两年前于外院35牙根管治疗,超充,正好超充于颏孔部位,患者现在还没有神经症状。该怎么补救?根尖手术,还是根管再治疗?或者有没有什么好办法?如果持续留在颏孔里面,久了会不会对神经产生什么影响?比如麻木???

发布于 15-04-07 16:58

0 个评论

暂无评论
发送