下载或打开 医联APP 查看完整评论
立即下载
打开APP
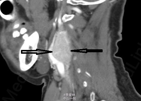
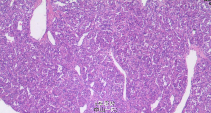
患者半年余前无明显诱因发现左侧颈部肿物,无伴局部红、肿、热、痛,无吞咽困难,呼吸困难,无头晕、头痛等不适。当时未予重视。近2月来,肿物进行性增大,遂至广州市中西医结合医院就诊,查颈部MRI平扫示:1、左侧颈动脉鞘内占位性病变,考虑为颈动脉体瘤可能性大,不排除神经源性肿瘤;2、双侧颌下腺旁多发淋巴结肿大;MRI增强示:左侧颈内外动脉分叉处明显分离,结合平扫片考虑为左侧颈动脉体瘤。 查体: 左颈部近下颌处可见突起肿物,饱满、膨隆,范围大约3*4cm,可触及搏动,与心率搏动频率相同,无压痛,隆起皮肤皮温正常,感觉良好,未见红肿,听诊未闻及震颤,无传导,锁骨无压痛叩击痛,连续性完好,左肩关节活动良好,左上肢感觉完好。无伸舌偏斜,额纹、鼻唇沟双侧对称 入院后诊断“颈动脉体瘤”明确,择期行颈动脉体瘤切除术,术后病理提示颈动脉体瘤。术后患者恢复可,无围手术期并发症。 颈动脉体瘤发病率较低,通常表现为颈部无痛性包块,容易与颈淋巴结结核、转移性肿瘤、神经源性肿瘤等相混淆。再加上血管外科在中国起步较晚,对于该类病人,笔者在临床上也曾听闻在基层医院有直接穿刺活检或者切开而导致大出血的,也遇到一些病例收住在耳鼻喉科的。对于颈部包块的患者,尤其是有搏动感的患者,应该引起警惕,予以颈部及甲状腺彩超是比较明智的选择。 颈动脉体瘤的治疗,以手术为主,由于颈动脉体瘤绝大多数都是良性的,所以术后复发、转移的风险较低,对于没有家族史的患者,除非再次出现颈部包块或者神经压迫症状,否则可以不要求密切随访。 入院检查如图所示(CTA) ,术后病理如图

