下载或打开 医联APP 查看完整评论
立即下载
打开APP
患者:男性,68 岁,出现咯血、胸痛,偶有发冷;无发热、体重减轻和呼吸困难。该患者童年有结核病病史,未接受抗结核治疗,后右下胸膜出现胸膜钙化且保持稳定。
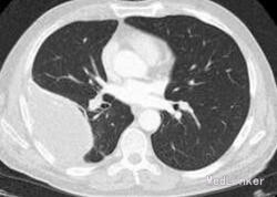
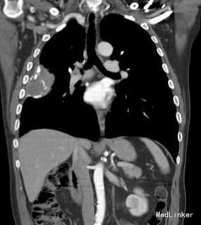
胸部 CT 显示右下肺后段胸膜处有一 5.5x4.5cm 不透明的低密度影和多个非钙化肺结节(直径≤4 毫米)及纤维条索和隆突下淋巴结钙化。


皮肤结核试验阳性和轻度缺铁性贫血。使用可待因,短期的左氧氟沙星及口服铁剂后呼吸症状迅速消退。手术切除,病理示上皮样血管肉瘤.
胸膜肺血管肉瘤非常罕见,文献报道不到 50 例。大多数病因未知,只有几例来自亚洲的报道认为慢性结核性脓胸是一种可能的危险因素。