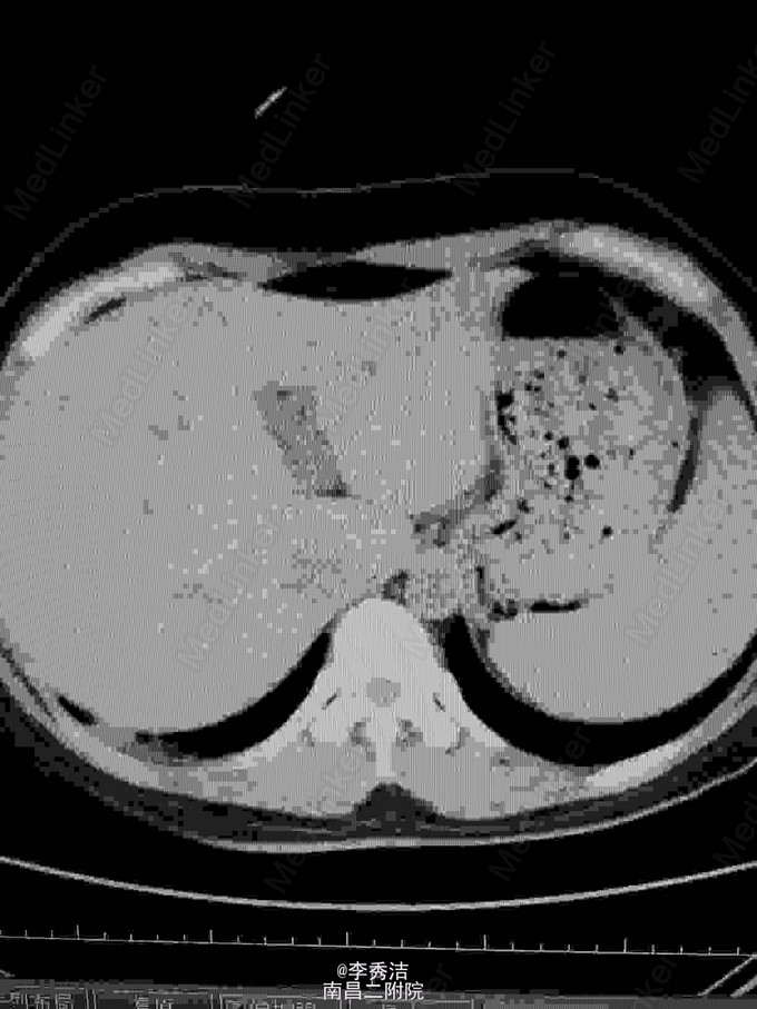
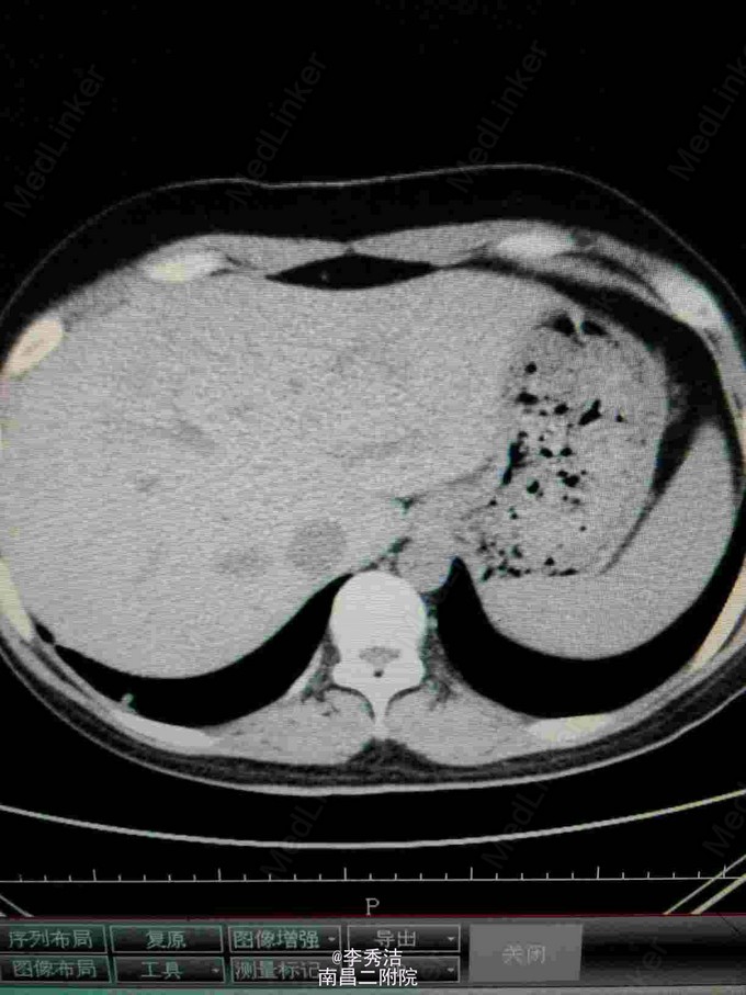
患者女,24岁,因“产后阴道不规则出血4月,发现妊娠滋养细胞肿瘤5天”入院。 患者于2014年12月11日足月自阴道分娩一胎儿(死胎)。后因阴道流血不尽,于2015年2月4日至当地医院清宫,未送病检。于2015年3月7日阴道血未干净至外地医院行第二次清宫,送病理报告示:(宫腔内刮出物)血块中见显著增生滋养叶细胞,核异形明显,考虑滋养叶细胞肿瘤,另见少量蜕膜组织。自诉6天前因阴道出血量多,明显多于月经量,至当地医院行阴道壁修补术。现无阴道流血,稍感下腹部隐痛,无头痛、发热等不适。门诊拟“阴道流血原因待查:滋养叶细胞肿瘤?”收入院。患者自发病以来,精神食欲睡眠可,大小便正常,体重无明显变化,否认高血压、糖尿病等慢性病史;否认传染病史;无食物药物过敏史,无手术及外伤史。平素月经规律,4~6天/33天,末次月经2014年3月26日,量中活动,暗红,有痛经,无血块。已婚,妊娠2,足月顺产2(1为死胎),未避孕。 查体:生命体征平稳,心肺听诊未及异常,腹平软,无压痛及反跳痛。妇检:外阴:已婚已产式;阴道:畅软,内见少量暗红色血液,前壁见两针丝线缝合;宫颈:光滑;宫体:平后位,超鸭蛋大小,质中、活动、无压痛;双附件未及异常。 辅助检查:2015年3月19日外院病理报告示:(宫腔内刮出物)血块中见显著增生滋养叶细胞,核异形明显,考虑滋养叶细胞肿瘤,另见少量蜕膜组织。血HCG209675mIU/ml。胸部CT示:肺部转移病灶。我院彩超示:子宫内混合回声团块,考虑滋养细胞肿瘤。 诊断:绒毛膜癌III期 诊疗计划:考虑患者为高危,使用联合化学药物治疗,5-FU+国产放线菌素D(更生霉素 KSM)。使用方法:5-FU 26~28mg/(Kg. d)+KSM6ug/(Kg. d)。静脉注射8天,每周检测血HCG水平一次。间隔13天进行第二次化疗。停药指证:HCG连续三次阴性后,继续给予三个疗程化疗。




