下载或打开 医联APP 查看完整评论
立即下载
打开APP
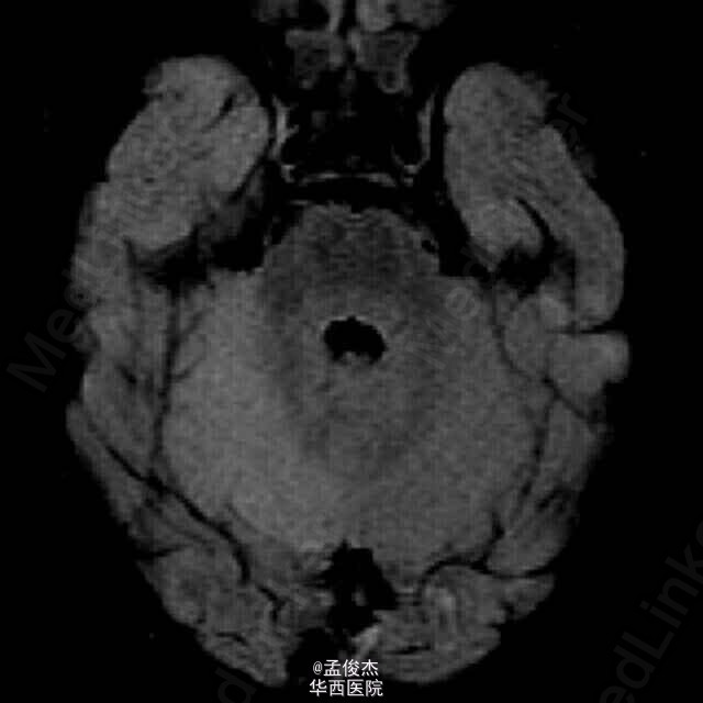
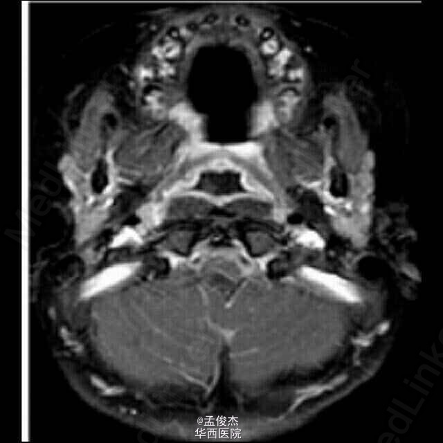
患儿女,33个月大,发热3天,体温最高102°F,伴有心动过速,130次/分。阵发性癫痫一天,伴有尖叫,双手紧握,双眼上翻,症状持续几秒到一分钟,仅在睡眠中发生。患儿在睡眠中易醒,既往有轻度哮喘。查体,黏膜干燥,余者无明显异常,血常规电解质水平检查无异常,血气分析示碳酸氢盐12 mmol/L,血糖69 mg/dL,尿中有大量酮体;脑脊液检查显示每立方毫米2个白细胞,1040个红细胞。头颅CT无明显异常,腹部超声无明显异常。 予总量为40 mL/kg 的生理盐水治疗心动过速,患儿心率恢复正常。使用万古霉素,头孢曲松钠治疗可能存在的败血症。 住院期间患者的癫痫持续发作,逐渐发展为吞咽困难,无法说话和右侧肢体无力。血尿脑脊液培养结果为阴性,停止输入抗生素。脑电图无异常。MRI示小脑右半球T2信号增高提示小脑水肿。碳酸氢盐升高至18 mmol/L,尿液中持续存在大量酮体。酮硫解酶 基因检测正常。CT检查示回肠末端的不规则增厚,管状软组织突出入盲肠。病毒PCR示患儿H1N1感染。 最终诊断为病毒性脑炎。患儿接受奥司他韦治疗后,明显好转,若干月后出院。 病毒相关脑炎与甲型流感关系最为密切,常见于5岁儿童。感染一周后出现症状,死亡率为37%。流感病毒导致的脑损伤并不经常表现为脑炎而是表现为代谢障碍,酮体增加,小脑水肿。

